中国 EN 400-660-9091

联系我们

电话:025-68037686

地址:江苏生命科技创新园F6幢1层

订购:nanjing03@biogot.com

服务:biorase01@biogot.com

合作:lvyun@biogot.com

支持:may@biogot.com

Phospho-Stathmin 1 (Ser25) polyclonal antibody

货号: BZ16302
价格 1350
货期 现货(1-2个工作日)
25ul 50ul 100ul 200ul
No. :BZ16302
Product Name :Phospho-Stathmin 1 (Ser25) polyclonal antibody
Swiss-Prot :P16949
Host :Rabbit
Reactivity :Human,Mouse,Rat
Applications :WB,IHC-P
Application_all :WB: 1/500-1/1000 IHC: 1/50-1/100
Background :Involved in the regulation of the microtubule (MT) filament system by destabilizing microtubules. Prevents assembly and promotes disassembly of microtubules. Phosphorylation at Ser-16 may be required for axon formation during neurogenesis. Involved in the control of the learned and innate fear.
Product :Liquid in PBS containing 50% glycerol, 0.5% BSA and 0.02% sodium azide, pH 7.3.
Purification&Purity :Affinity Purified
Storage&Stability :Store at 4°C short term. Aliquot and store at -20°C long term. Avoid freeze-thaw cycles.
Specificity :IgG
BiowMW :Calculated MW: 17 kDa; Observed MW: 17 kDa
Note :For research use only, not for use in diagnostic procedure.
Alternative Name :STMN1; C1orf215; LAP18; OP18; Stathmin; Leukemia-associated phosphoprotein p18; Metablastin; Oncoprotein 18; Op18; Phosphoprotein p19; pp19; Prosolin; Protein Pr22; pp17
Immunogen :Synthetic peptide of human STMN1
Conjugate :Unconjugated
Modification :Phosphorylated
Western blot analysis of Phospho-Stathmin 1 in Jurkat lysates using Phospho-Stathmin 1 antibody.
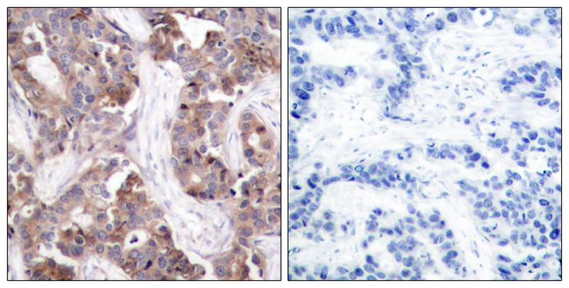
Immunohistochemistry analysis of paraffin-embedded Human breast carcinoma tissue using Stathmin 1 antibody.High-pressure and temperature Sodium Citrate pH 6.0 was used for antigen retrieval. Sample with blocking peptide on the right.

关注我们

400-660-9091

电话:025-68037686

地址:江苏生命科技创新园F6幢1层

订购:nanjing03@biogot.com

服务:biorase01@biogot.com

合作:lvyun@biogot.com

支持:may@biogot.com