中国 EN 400-660-9091

联系我们

电话:025-68037686

地址:江苏生命科技创新园F6幢1层

订购:nanjing03@biogot.com

服务:biorase01@biogot.com

合作:lvyun@biogot.com

支持:may@biogot.com

Phospho-4E BP1 (Thr37) polyclonal antibody

货号: BZ16301
价格 1350
货期 现货(1-2个工作日)
25ul 50ul 100ul 200ul
No. :BZ16301
Product Name :Phospho-4E BP1 (Thr37) polyclonal antibody
Swiss-Prot :Q13541
Host :Rabbit
Reactivity :Human,Mouse,Rat
Applications :WB,IHC-P
Application_all :WB: 1/500-1/1000 IHC: 1/50-1/100
Background :Translation repressor protein 4E-BP1 (also known as PHAS-1) inhibits cap-dependent translation by binding to the translation initiation factor eIF4E. Hyperphosphorylation of 4E-BP1 disrupts this interaction and results in activation of cap-dependent translation. Both the PI3 kinase/Akt pathway and FRAP/mTOR kinase regulate 4E-BP1 activity.
Product :Liquid in PBS containing 50% glycerol, 0.5% BSA and 0.02% sodium azide, pH 7.3.
Purification&Purity :Affinity Purified
Storage&Stability :Store at 4°C short term. Aliquot and store at -20°C long term. Avoid freeze-thaw cycles.
Specificity :IgG
BiowMW :Calculated MW: 13 kDa; Observed MW: 18 kDa
Note :For research use only, not for use in diagnostic procedure.
Alternative Name :EIF4EBP1; Eukaryotic translation initiation factor 4E-binding protein 1; 4E-BP1; eIF4E-binding protein 1; Phosphorylated heat- and acid-stable protein regulated by insulin 1; PHAS-I
Immunogen :Synthetic peptide of human EIF4EBP1
Conjugate :Unconjugated
Modification :Phosphorylated
Western blot analysis of Phospho-4E BP1 in MDAMB435 lysates using Phospho-4E BP1 antibody.
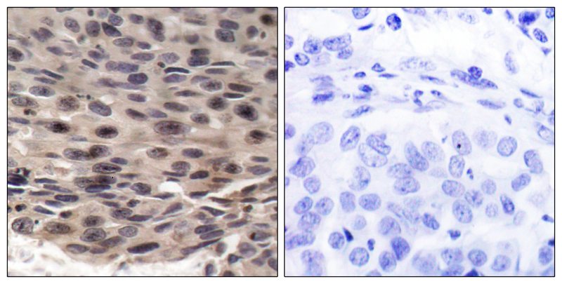
Immunohistochemistry analysis of paraffin-embedded Human breast carcinoma, using 4EBP1 antibody.High-pressure and temperature Sodium Citrate pH 6.0 was used for antigen retrieval. Sample with blocking peptide on the right.

关注我们

400-660-9091

电话:025-68037686

地址:江苏生命科技创新园F6幢1层

订购:nanjing03@biogot.com

服务:biorase01@biogot.com

合作:lvyun@biogot.com

支持:may@biogot.com