中国 EN 400-660-9091

联系我们

电话:025-68037686

地址:江苏生命科技创新园F6幢1层

订购:nanjing03@biogot.com

服务:biorase01@biogot.com

合作:lvyun@biogot.com

支持:may@biogot.com

Phospho-PYK2 (Tyr402) polyclonal antibody

货号: BZ16300
价格 1350
货期 现货(1-2个工作日)
25ul 50ul 100ul 200ul
No. :BZ16300
Product Name :Phospho-PYK2 (Tyr402) polyclonal antibody
Swiss-Prot :Q14289
Host :Rabbit
Reactivity :Human,Mouse,Rat
Applications :WB,IHC-P,ICC/IF
Application_all :WB: 1/500-1/1000 IHC: 1/50-1/100 ICC: 1/100-1/200
Background :PYK2 a nonreceptor tyrosine kinase of the Fak family. Predominantly expressed in the cells derived from hematopoietic lineages and in the central nervous system. PYK2 is one of the signaling mediators for G-protein-coupled receptors. Involved in calcium induced regulation of ion channel and activation of the map kinase signaling pathway. Interacts with the SH2 domain of Grb2.
Product :Liquid in PBS containing 50% glycerol, 0.5% BSA and 0.02% sodium azide, pH 7.3.
Purification&Purity :Affinity Purified
Storage&Stability :Store at 4°C short term. Aliquot and store at -20°C long term. Avoid freeze-thaw cycles.
Specificity :IgG
BiowMW :Calculated MW: 116 kDa; Observed MW: 116 kDa
Note :For research use only, not for use in diagnostic procedure.
Alternative Name :PTK2B; FAK2; PYK2; RAFTK; Protein-tyrosine kinase 2-beta; Calcium-dependent tyrosine kinase; CADTK; Calcium-regulated non-receptor proline-rich tyrosine kinase; Cell adhesion kinase beta; CAK-beta; CAKB; Focal adhesion kinase 2; FADK 2; Pro
Immunogen :Synthetic peptide of human PTK2B
Conjugate :Unconjugated
Modification :Phosphorylated
Western blot analysis of Phospho-PYK2 in 293 lysates using Phospho-PYK2 antibody.
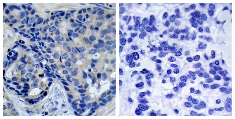
Immunohistochemistry analysis of paraffin-embedded Human breast carcinoma tissue using Pyk2 antibody.High-pressure and temperature Sodium Citrate pH 6.0 was used for antigen retrieval. Sample with blocking peptide on the right.
Immunofluorescence analysis of Phospho-PYK2 in Hela cells using Pyk2 antibody.

关注我们

400-660-9091

电话:025-68037686

地址:江苏生命科技创新园F6幢1层

订购:nanjing03@biogot.com

服务:biorase01@biogot.com

合作:lvyun@biogot.com

支持:may@biogot.com