中国 EN 400-660-9091

联系我们

电话:025-68037686

地址:江苏生命科技创新园F6幢1层

订购:nanjing03@biogot.com

服务:biorase01@biogot.com

合作:lvyun@biogot.com

支持:may@biogot.com

Phospho-VEGF Receptor 2 (Tyr1214) polyclonal antibody

货号: BZ16293
价格 1350
货期 现货(1-2个工作日)
25ul 50ul 100ul 200ul
No. :BZ16293
Product Name :Phospho-VEGF Receptor 2 (Tyr1214) polyclonal antibody
Swiss-Prot :P35968
Host :Rabbit
Reactivity :Human,Mouse,Rat
Applications :WB,IHC-P,ICC/IF
Application_all :WB: 1/500-1/1000 IHC: 1/50-1/100 ICC: 1/100-1/200
Background :VEGFR-2 is a receptor tyrosine kinase of the VEGFR family. High affinity receptor for VEGF and VEGF-C. Ligand binding induces autophosphorylation and activation. Activated receptor recruits proteins including Shc, GRB2, PI3K, Nck, SHP-1 and SHP-2.
Product :Liquid in PBS containing 50% glycerol, 0.5% BSA and 0.02% sodium azide, pH 7.3.
Purification&Purity :Affinity Purified
Storage&Stability :Store at 4°C short term. Aliquot and store at -20°C long term. Avoid freeze-thaw cycles.
Specificity :IgG
BiowMW :Calculated MW: 152 kDa; Observed MW: 230 kDa
Note :For research use only, not for use in diagnostic procedure.
Alternative Name :KDR; FLK1; VEGFR2; Vascular endothelial growth factor receptor 2; VEGFR-2; Fetal liver kinase 1; FLK-1; Kinase insert domain receptor; KDR; Protein-tyrosine kinase receptor flk-1; CD antigen CD309
Immunogen :Synthetic peptide of human KDR
Conjugate :Unconjugated
Modification :Phosphorylated
Western blot analysis of Phospho-VEGF Receptor 2 in mouse kidney, rat kidney lysates using Phospho-VEGF Receptor 2 antibody.
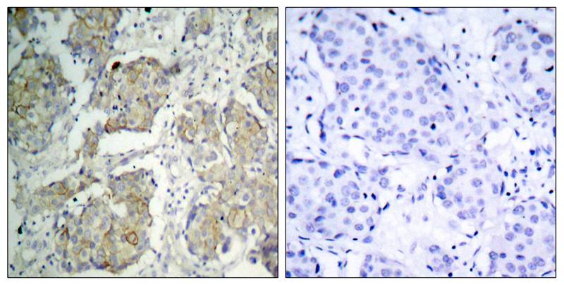
Immunohistochemistry analysis of paraffin-embedded Human breast carcinoma tissue using VEGFR2 antibody.High-pressure and temperature Sodium Citrate pH 6.0 was used for antigen retrieval. Sample with blocking peptide on the right.
Immunofluorescence analysis of Phospho-VEGF Receptor 2 in MCF-7 cells using VEGFR2 antibody.

关注我们

400-660-9091

电话:025-68037686

地址:江苏生命科技创新园F6幢1层

订购:nanjing03@biogot.com

服务:biorase01@biogot.com

合作:lvyun@biogot.com

支持:may@biogot.com