中国 EN 400-660-9091

联系我们

电话:025-68037686

地址:江苏生命科技创新园F6幢1层

订购:nanjing03@biogot.com

服务:biorase01@biogot.com

合作:lvyun@biogot.com

支持:may@biogot.com

Phospho-Estrogen Receptor alpha (Ser118) polyclonal antibody

货号: BZ16290
价格 1350
货期 现货(1-2个工作日)
25ul 50ul 100ul 200ul
No. :BZ16290
Product Name :Phospho-Estrogen Receptor alpha (Ser118) polyclonal antibody
Swiss-Prot :P03372
Host :Rabbit
Reactivity :Human
Applications :WB,IHC-P,ICC/IF
Application_all :WB: 1/500-1/1000 IHC: 1/50-1/100 ICC: 1/100-1/200
Background :ER (estrogen receptor 1) a member of the steroid receptor superfamily, contains highly conserved DNA binding (DBD) and ligand binding domains (LBD). Through its estrogen-independent and estrogen-dependent activation domains (AF-1 and AF-2, respectively), ER regulates transcription by recruiting coactivator proteins and interacting with general transcriptional machinery. Phosphorylation provides an important mechanism to regulate ER activity. ER is phosphorylated on multiple sites.
Product :Liquid in PBS containing 50% glycerol, 0.5% BSA and 0.02% sodium azide, pH 7.3.
Purification&Purity :Affinity Purified
Storage&Stability :Store at 4°C short term. Aliquot and store at -20°C long term. Avoid freeze-thaw cycles.
Specificity :IgG
BiowMW :Calculated MW: 66 kDa; Observed MW: 66 kDa
Note :For research use only, not for use in diagnostic procedure.
Alternative Name :ESR1; Era; Eralpha; Estrogen receptor; Estradiol receptor; ER-alpha; Estrogen receptor 1; NR3A1; ER; ESR; ESRA; Estrogen receptor alpha
Immunogen :Synthetic peptide of human ESR1
Conjugate :Unconjugated
Modification :Phosphorylated
Western blot analysis of Phospho-Estrogen Receptor alpha in MDAMB435 lysates using Phospho-Estrogen Receptor alpha antibody.
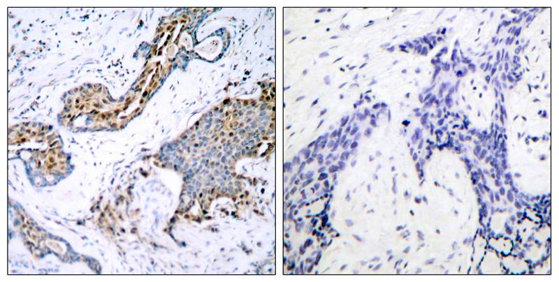
Immunohistochemistry analysis of paraffin-embedded Human breast carcinoma tissue using Estrogen Receptora antibody.High-pressure and temperature Sodium Citrate pH 6.0 was used for antigen retrieval. Sample with blocking peptide on the right.
Immunofluorescence analysis of Phospho-Estrogen Receptor alpha in MCF-7 cells using Estrogen Receptora antibody.

关注我们

400-660-9091

电话:025-68037686

地址:江苏生命科技创新园F6幢1层

订购:nanjing03@biogot.com

服务:biorase01@biogot.com

合作:lvyun@biogot.com

支持:may@biogot.com