中国 EN 400-660-9091

联系我们

电话:025-68037686

地址:江苏生命科技创新园F6幢1层

订购:nanjing03@biogot.com

服务:biorase01@biogot.com

合作:lvyun@biogot.com

支持:may@biogot.com

Phospho-STAT6 (Tyr641) polyclonal antibody

货号: BZ16289
价格 1350
货期 现货(1-2个工作日)
25ul 50ul 100ul 200ul
No. :BZ16289
Product Name :Phospho-STAT6 (Tyr641) polyclonal antibody
Swiss-Prot :P42226
Host :Rabbit
Reactivity :Human,Mouse,Rat
Applications :WB,IHC-P
Application_all :WB: 1/500-1/1000 IHC: 1/50-1/100
Background :STAT6 transcription factor of the STAT family. Plays a central role in IL4-mediated biological responses. Induces the expression of BCL2L1/BCL-X(L), which is responsible for the anti-apoptotic activity of IL4.
Product :Liquid in PBS containing 50% glycerol, 0.5% BSA and 0.02% sodium azide, pH 7.3.
Purification&Purity :Affinity Purified
Storage&Stability :Store at 4°C short term. Aliquot and store at -20°C long term. Avoid freeze-thaw cycles.
Specificity :IgG
BiowMW :Calculated MW: 94 kDa; Observed MW: 110 kDa
Note :For research use only, not for use in diagnostic procedure.
Alternative Name :STAT6; Signal transducer and activator of transcription 6; IL-4 Stat
Immunogen :Synthetic peptide of human STAT6
Conjugate :Unconjugated
Modification :Phosphorylated
Western blot analysis of Phospho-STAT6 in Hela lysates using Phospho-STAT6 antibody.
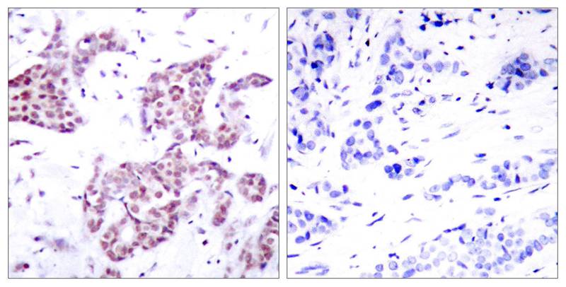
Immunohistochemistry analysis of paraffin-embedded Human breast carcinoma tissue using STAT6 antibody.High-pressure and temperature Sodium Citrate pH 6.0 was used for antigen retrieval. Sample with blocking peptide on the right.
  • Tumor-secreted GRP78 induces M2 polarization of macrophages by promoting lipid catabolism
    JournalCELLULAR SIGNALLING
    ApplicationWB
    IF4.85
    SpeciesHuman

关注我们

400-660-9091

电话:025-68037686

地址:江苏生命科技创新园F6幢1层

订购:nanjing03@biogot.com

服务:biorase01@biogot.com

合作:lvyun@biogot.com

支持:may@biogot.com