中国 EN 400-660-9091

联系我们

电话:025-68037686

地址:江苏生命科技创新园F6幢1层

订购:nanjing03@biogot.com

服务:biorase01@biogot.com

合作:lvyun@biogot.com

支持:may@biogot.com

RANK polyclonal antibody

货号: BZ16158
价格 1140
货期 现货(1-2个工作日)
25ul 50ul 100ul 200ul
No. :BZ16158
Product Name :RANK polyclonal antibody
Swiss-Prot :Q9Y6Q6
Host :Rabbit
Reactivity :Human,Mouse,Rat
Applications :WB,IHC-P,ELISA
Application_all :WB: 1/500-1/1000 IHC: 1/50-1/100 ELISA: 1/10000
Background :Receptor for TNFSF11/RANKL/TRANCE/OPGL; essential for RANKL-mediated osteoclastogenesis. Involved in the regulation of interactions between T-cells and dendritic cells.
Product :Liquid in PBS containing 50% glycerol, 0.5% BSA and 0.02% sodium azide, pH 7.3.
Purification&Purity :Affinity Purified
Storage&Stability :Store at 4°C short term. Aliquot and store at -20°C long term. Avoid freeze-thaw cycles.
Specificity :IgG
BiowMW :Calculated MW: 66 kDa; Observed MW: 66 kDa
Note :For research use only, not for use in diagnostic procedure.
Alternative Name :CD265; FEO; LOH18CR1; mRANK; ODFR; OFE; OPTB7; OSTS; PDB2; RANK; TNFRSF11A; TRANCER
Immunogen :Synthetic peptide from human protein at AA range: 60-120
Conjugate :Unconjugated
Modification :Unmodified
Western blot analysis of RANK in Hela lysates using RANK antibody.
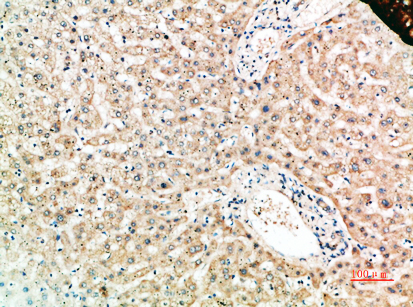
Immunohistochemistry analysis of paraffin-embedded Human liver using RANK antibody.High-pressure and temperature Sodium Citrate pH 6.0 was used for antigen retrieval.

关注我们

400-660-9091

电话:025-68037686

地址:江苏生命科技创新园F6幢1层

订购:nanjing03@biogot.com

服务:biorase01@biogot.com

合作:lvyun@biogot.com

支持:may@biogot.com