中国 EN 400-660-9091

联系我们

电话:025-68037686

地址:江苏生命科技创新园F6幢1层

订购:nanjing03@biogot.com

服务:biorase01@biogot.com

合作:lvyun@biogot.com

支持:may@biogot.com

SIRP alpha/beta polyclonal antibody

货号: BZ16143
价格 1140
货期 现货(1-2个工作日)
25ul 50ul 100ul 200ul
No. :BZ16143
Product Name :SIRP alpha/beta polyclonal antibody
Swiss-Prot :P78324/Q5TFQ8
Host :Rabbit
Reactivity :Human
Applications :WB,IHC-P,ELISA
Application_all :WB: 1/500-1/1000 IHC: 1/50-1/100 ELISA: 1/10000
Background :Immunoglobulin-like cell surface receptor for CD47. Acts as docking protein and induces translocation of PTPN6, PTPN11 and other binding partners from the cytosol to the plasma membrane. Supports adhesion of cerebellar neurons, neurite outgrowth and glial cell attachment.
Product :Liquid in PBS containing 50% glycerol, 0.5% BSA and 0.02% sodium azide, pH 7.3.
Purification&Purity :Affinity Purified
Storage&Stability :Store at 4°C short term. Aliquot and store at -20°C long term. Avoid freeze-thaw cycles.
Specificity :IgG
BiowMW :Calculated MW: 55 kDa; Observed MW: 55 kDa
Note :For research use only, not for use in diagnostic procedure.
Alternative Name :SIRPA; BIT; MFR; MYD1; PTPNS1; SHPS1; SIRP; Tyrosine-protein phosphatase non-receptor type substrate 1; SHP substrate 1; SHPS-1; Brain Ig-like molecule with tyrosine-based activation motifs; Bit; CD172 antigen-like family member A; CD172a; SIRPB1; Signal-regulatory protein beta-1 isoform 3; SIRP-beta-1 isoform 3
Immunogen :The antiserum was produced against synthesized peptide derived from the Internal region of human SIRPA/SIRPB1. AA range:281-330
Conjugate :Unconjugated
Modification :Unmodified
Western blot analysis of SIRP alpha/beta in Hela lysates using SIRP alpha/beta antibody.
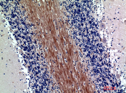
Immunohistochemistry analysis of paraffin-embedded Human brain using SIRP alpha/beta antibody.High-pressure and temperature Sodium Citrate pH 6.0 was used for antigen retrieval.

关注我们

400-660-9091

电话:025-68037686

地址:江苏生命科技创新园F6幢1层

订购:nanjing03@biogot.com

服务:biorase01@biogot.com

合作:lvyun@biogot.com

支持:may@biogot.com