中国 EN 400-660-9091

联系我们

电话:025-68037686

地址:江苏生命科技创新园F6幢1层

订购:nanjing03@biogot.com

服务:biorase01@biogot.com

合作:lvyun@biogot.com

支持:may@biogot.com

CD42d polyclonal antibody

货号: BZ16139
价格 1140
货期 现货(1-2个工作日)
25ul 50ul 100ul 200ul
No. :BZ16139
Product Name :CD42d polyclonal antibody
Swiss-Prot :P40197
Host :Rabbit
Reactivity :Human,Mouse,Rat
Applications :WB,IHC-P,ELISA
Application_all :WB: 1/500-1/1000 IHC: 1/50-1/100 ELISA: 1/10000
Background :The GPIb-V-IX complex functions as the vWF receptor and mediates vWF-dependent platelet adhesion to blood vessels.
Product :Liquid in PBS containing 50% glycerol, 0.5% BSA and 0.02% sodium azide, pH 7.3.
Purification&Purity :Affinity Purified
Storage&Stability :Store at 4°C short term. Aliquot and store at -20°C long term. Avoid freeze-thaw cycles.
Specificity :IgG
BiowMW :Calculated MW: 61 kDa; Observed MW: 61 kDa
Note :For research use only, not for use in diagnostic procedure.
Alternative Name :GP5; Platelet glycoprotein V; GPV; Glycoprotein 5; CD42d
Immunogen :The antiserum was produced against synthesized peptide derived from the Internal region of human GP5. AA range:331-380
Conjugate :Unconjugated
Modification :Unmodified
Western blot analysis of CD42d in Hela lysates using CD42d antibody.
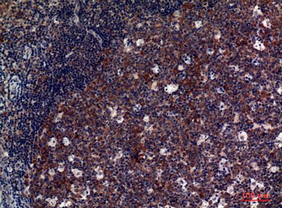
Immunohistochemistry analysis of paraffin-embedded Human tonsils using CD42d antibody.High-pressure and temperature Sodium Citrate pH 6.0 was used for antigen retrieval.

关注我们

400-660-9091

电话:025-68037686

地址:江苏生命科技创新园F6幢1层

订购:nanjing03@biogot.com

服务:biorase01@biogot.com

合作:lvyun@biogot.com

支持:may@biogot.com