中国 EN 400-660-9091

联系我们

电话:025-68037686

地址:江苏生命科技创新园F6幢1层

订购:nanjing03@biogot.com

服务:biorase01@biogot.com

合作:lvyun@biogot.com

支持:may@biogot.com

FGF5 polyclonal antibody

货号: BZ16127
价格 1140
货期 现货(1-2个工作日)
25ul 50ul 100ul 200ul
No. :BZ16127
Product Name :FGF5 polyclonal antibody
Swiss-Prot :P12034
Host :Rabbit
Reactivity :Human
Applications :WB,IHC-P,ELISA
Application_all :WB: 1/500-1/1000 IHC: 1/50-1/100 ELISA: 1/10000
Background :The protein encoded by this gene is a member of the fibroblast growth factor (FGF) family. FGF family members possess broad mitogenic and cell survival activities, and are involved in a variety of biological processes, including embryonic development, cell growth, morphogenesis, tissue repair, tumor growth and invasion. This gene was identified as an oncogene, which confers transforming potential when transfected into mammalian cells. Targeted disruption of the homolog of this gene in mouse resulted in the phenotype of abnormally long hair, which suggested a function as an inhibitor of hair elongation. Alternatively spliced transcript variants encoding different isoforms have been identified.
Product :Liquid in PBS containing 50% glycerol, 0.5% BSA and 0.02% sodium azide, pH 7.3.
Purification&Purity :Affinity Purified
Storage&Stability :Store at 4°C short term. Aliquot and store at -20°C long term. Avoid freeze-thaw cycles.
Specificity :IgG
BiowMW :Calculated MW: 30 kDa; Observed MW: 30 kDa
Note :For research use only, not for use in diagnostic procedure.
Alternative Name :FGF5; Fibroblast growth factor 5; FGF-5; Heparin-binding growth factor 5; HBGF-5; Smag-82
Immunogen :The antiserum was produced against synthesized peptide derived from the C-terminal region of human FGF5. AA range:211-260
Conjugate :Unconjugated
Modification :Unmodified
Western blot analysis of FGF5 in mouse liver lysates using FGF5 antibody.
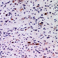
Immunohistochemistry analysis of paraffin-embedded Human brain using FGF5 antibody.High-pressure and temperature Sodium Citrate pH 6.0 was used for antigen retrieval.

关注我们

400-660-9091

电话:025-68037686

地址:江苏生命科技创新园F6幢1层

订购:nanjing03@biogot.com

服务:biorase01@biogot.com

合作:lvyun@biogot.com

支持:may@biogot.com