中国 EN 400-660-9091

联系我们

电话:025-68037686

地址:江苏生命科技创新园F6幢1层

订购:nanjing03@biogot.com

服务:biorase01@biogot.com

合作:lvyun@biogot.com

支持:may@biogot.com

Angiopoietin 1 polyclonal antibody

货号: BZ16087
价格 1140
货期 现货(1-2个工作日)
25ul 50ul 100ul 200ul
No. :BZ16087
Product Name :Angiopoietin 1 polyclonal antibody
Swiss-Prot :Q15389
Host :Rabbit
Reactivity :Human,Rat
Applications :WB,IHC-P,ELISA
Application_all :WB: 1/500-1/1000 IHC: 1/50-1/100 ELISA: 1/10000
Background :Binds and activates TEK/TIE2 receptor by inducing its dimerization and tyrosine phosphorylation. Plays an important role in the regulation of angiogenesis, endothelial cell survival, proliferation, migration, adhesion and cell spreading, reorganization of the actin cytoskeleton, but also maintenance of vascular quiescence. Required for normal angiogenesis and heart development during embryogenesis. After birth, activates or inhibits angiogenesis, depending on the context.
Product :Liquid in PBS containing 50% glycerol, 0.5% BSA and 0.02% sodium azide, pH 7.3.
Purification&Purity :Affinity Purified
Storage&Stability :Store at 4°C short term. Aliquot and store at -20°C long term. Avoid freeze-thaw cycles.
Specificity :IgG
BiowMW :Calculated MW: 58 kDa; Observed MW: 58 kDa
Note :For research use only, not for use in diagnostic procedure.
Alternative Name :ANGPT1; KIAA0003; Angiopoietin-1; ANG-1
Immunogen :The antiserum was produced against synthesized peptide derived from the N-terminal region of human ANGPT1. AA range:1-50
Conjugate :Unconjugated
Modification :Unmodified
Western blot analysis of Angiopoietin 1 in A549, K562 lysates using Angiopoietin 1 antibody.
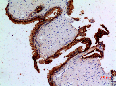
Immunohistochemistry analysis of paraffin-embedded Human prostaticcancer using Angiopoietin 1 antibody.High-pressure and temperature Sodium Citrate pH 6.0 was used for antigen retrieval.

关注我们

400-660-9091

电话:025-68037686

地址:江苏生命科技创新园F6幢1层

订购:nanjing03@biogot.com

服务:biorase01@biogot.com

合作:lvyun@biogot.com

支持:may@biogot.com