中国 EN 400-660-9091

联系我们

电话:025-68037686

地址:江苏生命科技创新园F6幢1层

订购:nanjing03@biogot.com

服务:biorase01@biogot.com

合作:lvyun@biogot.com

支持:may@biogot.com

CD7 polyclonal antibody

货号: BZ16085
价格 1140
货期 现货(1-2个工作日)
25ul 50ul 100ul 200ul
No. :BZ16085
Product Name :CD7 polyclonal antibody
Swiss-Prot :P09564
Host :Rabbit
Reactivity :Human
Applications :WB,IHC-P,ELISA
Application_all :WB: 1/500-1/1000 IHC: 1/50-1/100 ELISA: 1/10000
Background :Not yet known.
Product :Liquid in PBS containing 50% glycerol, 0.5% BSA and 0.02% sodium azide, pH 7.3.
Purification&Purity :Affinity Purified
Storage&Stability :Store at 4°C short term. Aliquot and store at -20°C long term. Avoid freeze-thaw cycles.
Specificity :IgG
BiowMW :Calculated MW: 25 kDa; Observed MW: 25 kDa
Note :For research use only, not for use in diagnostic procedure.
Alternative Name :CD7; T-cell antigen CD7; GP40; T-cell leukemia antigen; T-cell surface antigen Leu-9; TP41; CD7
Immunogen :The antiserum was produced against synthesized peptide derived from the Internal region of human CD7. AA range:51-100
Conjugate :Unconjugated
Modification :Unmodified
Western blot analysis of CD7 in K562 lysates using CD7 antibody.
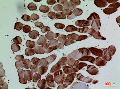
Immunohistochemistry analysis of paraffin-embedded Human muscle using CD7 antibody.High-pressure and temperature Sodium Citrate pH 6.0 was used for antigen retrieval.

关注我们

400-660-9091

电话:025-68037686

地址:江苏生命科技创新园F6幢1层

订购:nanjing03@biogot.com

服务:biorase01@biogot.com

合作:lvyun@biogot.com

支持:may@biogot.com