中国 EN 400-660-9091

联系我们

电话:025-68037686

地址:江苏生命科技创新园F6幢1层

订购:nanjing03@biogot.com

服务:biorase01@biogot.com

合作:lvyun@biogot.com

支持:may@biogot.com

PREP polyclonal antibody

货号: BZ16079
价格 1140
货期 现货(1-2个工作日)
25ul 50ul 100ul 200ul
No. :BZ16079
Product Name :PREP polyclonal antibody
Swiss-Prot :P48147
Host :Rabbit
Reactivity :Human,Mouse,Rat
Applications :WB,IHC-P,ELISA
Application_all :WB: 1/500-1/1000 IHC: 1/50-1/100 ELISA: 1/10000
Background :The protein encoded by this gene is a cytosolic prolyl endopeptidase that cleaves peptide bonds on the C-terminal side of prolyl residues within peptides that are up to approximately 30 amino acids long. Prolyl endopeptidases have been reported to be involved in the maturation and degradation of peptide hormones and neuropeptides.
Product :Liquid in PBS containing 50% glycerol, 0.5% BSA and 0.02% sodium azide, pH 7.3.
Purification&Purity :Affinity Purified
Storage&Stability :Store at 4°C short term. Aliquot and store at -20°C long term. Avoid freeze-thaw cycles.
Specificity :IgG
BiowMW :Calculated MW: 81 kDa; Observed MW: 81 kDa
Note :For research use only, not for use in diagnostic procedure.
Alternative Name :PREP; PEP; Prolyl endopeptidase; PE; Post-proline cleaving enzyme
Immunogen :Synthesized peptide derived from PREP . at AA range: 10-90
Conjugate :Unconjugated
Modification :Unmodified
Western blot analysis of PREP in Jurkat lysates using PREP antibody.
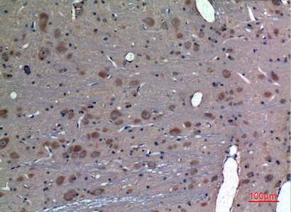
Immunohistochemistry analysis of paraffin-embedded rat brain using PREP antibody.High-pressure and temperature Sodium Citrate pH 6.0 was used for antigen retrieval.
  • LncPrep + 96kb inhibits ovarian fibrosis by upregulating prolyl oligopeptidase expression
    JournalMolecular Medicine Reports
    ApplicationWB
    IF3.4
    SpeciesMouse

关注我们

400-660-9091

电话:025-68037686

地址:江苏生命科技创新园F6幢1层

订购:nanjing03@biogot.com

服务:biorase01@biogot.com

合作:lvyun@biogot.com

支持:may@biogot.com