中国 EN 400-660-9091

联系我们

电话:025-68037686

地址:江苏生命科技创新园F6幢1层

订购:nanjing03@biogot.com

服务:biorase01@biogot.com

合作:lvyun@biogot.com

支持:may@biogot.com

OX40L polyclonal antibody

货号: BZ16067
价格 1140
货期 现货(1-2个工作日)
25ul 50ul 100ul 200ul
No. :BZ16067
Product Name :OX40L polyclonal antibody
Swiss-Prot :P23510
Host :Rabbit
Reactivity :Human
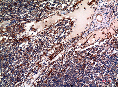
Applications :WB,IHC-P,ELISA
Application_all :WB: 1/500-1/1000 IHC: 1/50-1/100 ELISA: 1/10000
Background :This gene encodes a cytokine of the tumor necrosis factor (TNF) ligand family. The encoded protein functions in T cell antigen-presenting cell (APC) interactions and mediates adhesion of activated T cells to endothelial cells. Polymorphisms in this gene have been associated with Sjogren's syndrome and systemic lupus erythematosus. Alternative splicing results in multiple transcript variants
Product :Liquid in PBS containing 50% glycerol, 0.5% BSA and 0.02% sodium azide, pH 7.3.
Purification&Purity :Affinity Purified
Storage&Stability :Store at 4°C short term. Aliquot and store at -20°C long term. Avoid freeze-thaw cycles.
Specificity :IgG
BiowMW :Calculated MW: 21 kDa; Observed MW: 21 kDa
Note :For research use only, not for use in diagnostic procedure.
Alternative Name :TNFSF4; TXGP1; Tumor necrosis factor ligand superfamily member 4; Glycoprotein Gp34; OX40 ligand; OX40L; TAX transcriptionally-activated glycoprotein 1; CD antigen CD252
Immunogen :The antiserum was produced against synthesized peptide derived from the Internal region of human TNFSF4. AA range:31-80
Conjugate :Unconjugated
Modification :Unmodified
Western blot analysis of OX40L in KB lysates using OX40L antibody.
Western blot analysis of OX40L in KB lysates using Ox40L antibody.

关注我们

400-660-9091

电话:025-68037686

地址:江苏生命科技创新园F6幢1层

订购:nanjing03@biogot.com

服务:biorase01@biogot.com

合作:lvyun@biogot.com

支持:may@biogot.com