中国 EN 400-660-9091

联系我们

电话:025-68037686

地址:江苏生命科技创新园F6幢1层

订购:nanjing03@biogot.com

服务:biorase01@biogot.com

合作:lvyun@biogot.com

支持:may@biogot.com

BMAL1 polyclonal antibody

货号: BZ16059
价格 1140
货期 现货(1-2个工作日)
25ul 50ul 100ul 200ul
No. :BZ16059
Product Name :BMAL1 polyclonal antibody
Swiss-Prot :O00327
Host :Rabbit
Reactivity :Human,Mouse,Rat
Applications :WB,IHC-P,ELISA
Application_all :WB: 1/500-1/1000 IHC: 1/50-1/100 ELISA: 1/10000
Background :The cellular circadian clockwork consists of interwoven positive and negative regulatory loops, or limbs (1,2). The positive limb includes the CLOCK and BMAL1 proteins, two basic helix-loop-helix-PAS containing transcription factors that bind E box enhancer elements and activate transcription of their target genes.
Product :Liquid in PBS containing 50% glycerol, 0.5% BSA and 0.02% sodium azide, pH 7.3.
Purification&Purity :Affinity Purified
Storage&Stability :Store at 4°C short term. Aliquot and store at -20°C long term. Avoid freeze-thaw cycles.
Specificity :IgG
BiowMW :Calculated MW: 69 kDa; Observed MW: 69 kDa
Note :For research use only, not for use in diagnostic procedure.
Alternative Name :ARNTL; BHLHE5; BMAL1; MOP3; PASD3; Aryl hydrocarbon receptor nuclear translocator-like protein 1; Basic-helix-loop-helix-PAS protein MOP3; Brain and muscle ARNT-like 1Class E basic helix-loop-helix protein 5; bHLHe5; Member of PAS protein 3; PAS domain-containing protein 3; bHLH-PAS protein JAP3
Immunogen :The antiserum was produced against synthesized peptide derived from human BMAL1 around the non-acetylation site of Lys538. AA range:501-550
Conjugate :Unconjugated
Modification :Unmodified
Western blot analysis of BMAL1 in K562 lysates using BMAL1 antibody.
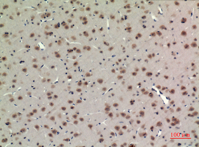
Immunohistochemistry analysis of paraffin-embedded rat brain using BMAL1 antibody.High-pressure and temperature Sodium Citrate pH 6.0 was used for antigen retrieval.

关注我们

400-660-9091

电话:025-68037686

地址:江苏生命科技创新园F6幢1层

订购:nanjing03@biogot.com

服务:biorase01@biogot.com

合作:lvyun@biogot.com

支持:may@biogot.com