中国 EN 400-660-9091

联系我们

电话:025-68037686

地址:江苏生命科技创新园F6幢1层

订购:nanjing03@biogot.com

服务:biorase01@biogot.com

合作:lvyun@biogot.com

支持:may@biogot.com

ZNF307 polyclonal antibody

货号: BZ16054
价格 1140
货期 现货(1-2个工作日)
25ul 50ul 100ul 200ul
No. :BZ16054
Product Name :ZNF307 polyclonal antibody
Swiss-Prot :Q969J2
Host :Rabbit
Reactivity :Human
Applications :WB,IHC-P,ELISA
Application_all :WB: 1/500-1/1000 IHC: 1/50-1/100 ELISA: 1/10000
Background :May be involved in the transcriptional activation of MDM2 and EP300 genes.
Product :Liquid in PBS containing 50% glycerol, 0.5% BSA and 0.02% sodium azide, pH 7.3.
Purification&Purity :Affinity Purified
Storage&Stability :Store at 4°C short term. Aliquot and store at -20°C long term. Avoid freeze-thaw cycles.
Specificity :IgG
BiowMW :Calculated MW: 62 kDa; Observed MW: 62 kDa
Note :For research use only, not for use in diagnostic procedure.
Alternative Name :ZKSCAN4; ZNF307; ZNF427; Zinc finger protein with KRAB and SCAN domains 4; P373c6.1; Zinc finger protein 307; Zinc finger protein 427
Immunogen :Synthesized peptide derived from the Internal region of human ZKSCAN4.
Conjugate :Unconjugated
Modification :Unmodified
Western blot analysis of ZNF307 in MCF-7, HepG2, 293, mouse brain, mouse lung lysates using ZNF307 antibody.
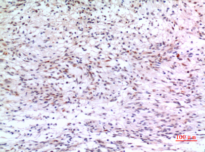
Immunohistochemistry analysis of paraffin-embedded Human brain using ZNF307 antibody.High-pressure and temperature Sodium Citrate pH 6.0 was used for antigen retrieval.

关注我们

400-660-9091

电话:025-68037686

地址:江苏生命科技创新园F6幢1层

订购:nanjing03@biogot.com

服务:biorase01@biogot.com

合作:lvyun@biogot.com

支持:may@biogot.com