中国 EN 400-660-9091

联系我们

电话:025-68037686

地址:江苏生命科技创新园F6幢1层

订购:nanjing03@biogot.com

服务:biorase01@biogot.com

合作:lvyun@biogot.com

支持:may@biogot.com

SMAD2/SMAD3 polyclonal antibody

货号: BS80508
价格 1140
货期 现货(1-2个工作日)
25ul 50ul 100ul
No. :BS80508
Product Name :SMAD2/SMAD3 polyclonal antibody
Swiss-Prot :P84022/Q15796
Host :Rabbit
Reactivity :Human, Mouse, Rat
Applications :WB, IHC, IF/ICC
Application_all :WB:1:500 - 1:1000 IHC:1:50 - 1:200 IF/ICC:1:50 - 1:200
Background :The protein encoded by this gene belongs to the SMAD, a family of proteins similar to the gene products of the Drosophila gene 'mothers against decapentaplegic' (Mad) and the C. elegans gene Sma. SMAD proteins are signal transducers and transcriptional modulators that mediate multiple signaling pathways. This protein functions as a transcriptional modulator activated by transforming growth factor-beta and is thought to play a role in the regulation of carcinogenesis.
Product :1mg/ml in PBS with 0.02% sodium azide, 50% glycerol, pH7.2
Purification&Purity :The antibody was affinity-purified from rabbit antiserum by affinity-chromatography using epitope-specific immunogen and the purity is > 95% (by SDS-PAGE).
Storage&Stability :Store at 4°C short term. Aliquot and store at -20°C long term. Avoid freeze-thaw cycles.
Specificity :SMAD2/SMAD3 polyclonal antibody detects endogenous levels of SMAD2/SMAD3 protein.
BiowMW :~ 60 kDa
Note :For research use only, not for use in diagnostic procedure.
Alternative Name :HSPC193;HsT17436;JV15-2;LDS1C;LDS3;MADH3
Immunogen :A synthetic peptide corresponding to a sequence within amino acids 150-250 of human SMAD2/SMAD3 (NP_005892.1).
Conjugate :Unconjugated
Modification :Unmodified
Western blot analysis of extracts of various cell lines, using SMAD2/SMAD3 antibody at 1:700 dilution.
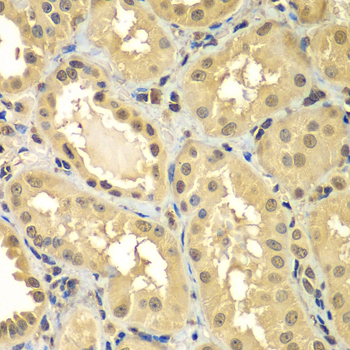
Immunohistochemistry analysis of paraffin-embedded human kidney using SMAD2/SMAD3 antibody at dilution of 1:100 (40x lens).Perform microwave antigen retrieval with 10 mM PBS buffer pH 7.2 before commencing with IHC staining protocol.
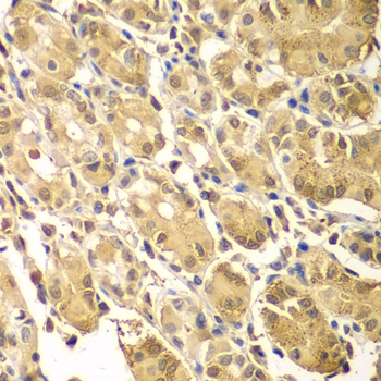
Immunohistochemistry analysis of paraffin-embedded human gastric using SMAD2/SMAD3 antibody at dilution of 1:100 (40x lens).Perform microwave antigen retrieval with 10 mM PBS buffer pH 7.2 before commencing with IHC staining protocol.
Immunofluorescence analysis of HeLa cells using SMAD2/SMAD3 Rabbit pAb at dilution of 1:100 (40x lens). Blue: DAPI for nuclear staining.

关注我们

400-660-9091

电话:18013895086

地址:江苏生命科技创新园F6幢1层

订购:nanjing03@biogot.com

服务:biorase01@biogot.com

合作:lvyun@biogot.com

支持:may@biogot.com