中国 EN 400-660-9091

联系我们

电话:025-68037686

地址:江苏生命科技创新园F6幢1层

订购:nanjing03@biogot.com

服务:biorase01@biogot.com

合作:lvyun@biogot.com

支持:may@biogot.com

STING/TMEM173 polyclonal antibody

货号: BS80431
价格 1140
货期 现货(1-2个工作日)
25ul 50ul 100ul
No. :BS80431
Product Name :STING/TMEM173 polyclonal antibody
Swiss-Prot :Q3TBT3
Host :Rabbit
Reactivity :Human, Mouse, Rat
Applications :WB IHC-P
Application_all :WB 1:500-1:1000 IHC-P 1:50-1:200 IF/ICC 1:100-1:500
Background :This gene encodes a five transmembrane protein that functions as a major regulator of the innate immune response to viral and bacterial infections. The encoded protein is a pattern recognition receptor that detects cytosolic nucleic acids and transmits signals that activate type I interferon responses. The encoded protein has also been shown to play a role in apoptotic signaling by associating with type II major histocompatibility complex. Mutations in this gene are the cause of infantile-onset STING-associated vasculopathy. Alternate splicing results in multiple transcript variants.
Product :Rabbit IgG, 1mg/ml in PBS with 0.02% sodium azide, 50% glycerol, pH7.2
Purification&Purity :The antibody was affinity-purified from rabbit antiserum by affinity-chromatography using epitope-specific immunogen and the purity is > 95% (by SDS-PAGE).
Storage&Stability :Store at 4°C short term. Aliquot and store at -20°C long term. Avoid freeze-thaw cycles.
Specificity :STING/TMEM173 polyclonal antibody detects endogenous levels of STING/TMEM173 protein.
BiowMW :~ 33, 35 kDa
Note :For research use only, not for use in diagnostic procedure.
Alternative Name :ERIS; MPYS; Mita; STING; Tmem173; STING-beta; 2610307O08Rik
Immunogen :A synthetic peptide corresponding to a sequence within amino acids 280-371 of mouse STING. (NP_938023.1).
Conjugate :Unconjugated
Modification :Unmodified
Western blot analysis of various lysates using STING pAb at 1:1000 dilution.
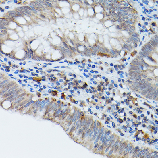
Immunohistochemistry analysis of STING in paraffin-embedded human colon carcinoma using STING pAb at dilution of 1:20 (40x lens).
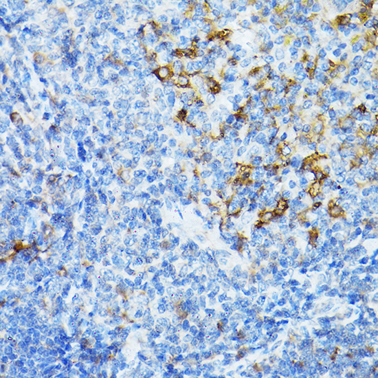
Immunohistochemistry analysis of STING in paraffin-embedded rat spleen using STING pAb at dilution of 1:20 (40x lens).
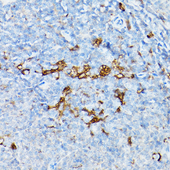
Immunohistochemistry analysis of STING in paraffin-embedded mouse spleen using STING pAb at dilution of 1:20 (40x lens).

关注我们

400-660-9091

电话:18013895086

地址:江苏生命科技创新园F6幢1层

订购:nanjing03@biogot.com

服务:biorase01@biogot.com

合作:lvyun@biogot.com

支持:may@biogot.com