中国 EN 400-660-9091

联系我们

电话:025-68037686

地址:江苏生命科技创新园F6幢1层

订购:nanjing03@biogot.com

服务:biorase01@biogot.com

合作:lvyun@biogot.com

支持:may@biogot.com

Cleaved-Caspase 3 p17 polyclonal antibody

货号: BS80393
价格 1140
货期 现货(1-2个工作日)
25ul 50ul 100ul 200ul
No. :BS80393
Product Name :Cleaved-Caspase 3 p17 polyclonal antibody
Swiss-Prot :P42574
Host :Rabbit
Reactivity :Human,Mouse,Rat
Applications :WB, IHC, IF/ICC
Application_all :WB,1:500 - 1:1000|IHC,1:100 - 1:200|IF/ICC,1:100 - 1:500
Background :This gene encodes a protein which is a member of the cysteine-aspartic acid protease (caspase) family. Sequential activation of caspases plays a central role in the execution-phase of cell apoptosis. Caspases exist as inactive proenzymes which undergo proteolytic processing at conserved aspartic residues to produce two subunits, large and small, that dimerize to form the active enzyme. This protein cleaves and activates caspases 6, 7 and 9, and the protein itself is processed by caspases 8, 9 and 10. It is the predominant caspase involved in the cleavage of amyloid-beta 4A precursor protein, which is associated with neuronal death in Alzheimer's disease. Alternative splicing of this gene results in two transcript variants that encode the same protein.
Product :Rabbit IgG, 1mg/ml in PBS with 0.02% sodium azide, 50% glycerol, pH7.2
Purification&Purity :The antibody was affinity-purified from rabbit antiserum by affinity-chromatography using epitope-specific immunogen and the purity is > 95% (by SDS-PAGE).
Storage&Stability :Store at 4°C short term. Aliquot and store at -20°C long term. Avoid freeze-thaw cycles.
Specificity :Cleaved-Caspase 3 p17 polyclonal antibody detects endogenous levels of Cleaved-Caspase 3 p17 protein.
BiowMW :~ 35, 17 kDa
Note :For research use only, not for use in diagnostic procedure.
Alternative Name :CPP32;CPP32B;SCA-1;Active Caspase 3;CASP3;active Caspase-3;Caspase 3;Caspase-3 p12;caspase-3
Immunogen :KLH-conjugated synthetic peptide encompassing a sequence within the center region of human Caspase 3.
Conjugate :Unconjugated
Modification :Cleaved
Western blot analysis of Cleaved-Caspase 3 p17 expression in Hela (A), SGC7901 (B), EC9706 (C), mouse liver (D), mouse spleen (E), rat liver (F) whole cell lysates.
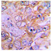
Immunohistochemical analysis of Cleaved-Caspase 3 p17staining in human lung cancer formalin fixed paraffin embedded tissue section.
Immunofluorescent analysis of Cleaved-Caspase 3 p17 staining in HeLa cells.

关注我们

400-660-9091

电话:025-68037686

地址:江苏生命科技创新园F6幢1层

订购:nanjing03@biogot.com

服务:biorase01@biogot.com

合作:lvyun@biogot.com

支持:may@biogot.com