中国 EN 400-660-9091

联系我们

电话:025-68037686

地址:江苏生命科技创新园F6幢1层

订购:nanjing03@biogot.com

服务:biorase01@biogot.com

合作:lvyun@biogot.com

支持:may@biogot.com

IL18 polyclonal antibody

货号: BS80262
价格 1140
货期 现货(1-2个工作日)
25ul 50ul 100ul 200ul
No. :BS80262
Product Name :IL18 polyclonal antibody
Swiss-Prot :P70380
Host :Rabbit
Reactivity :Human, Mouse, Rat
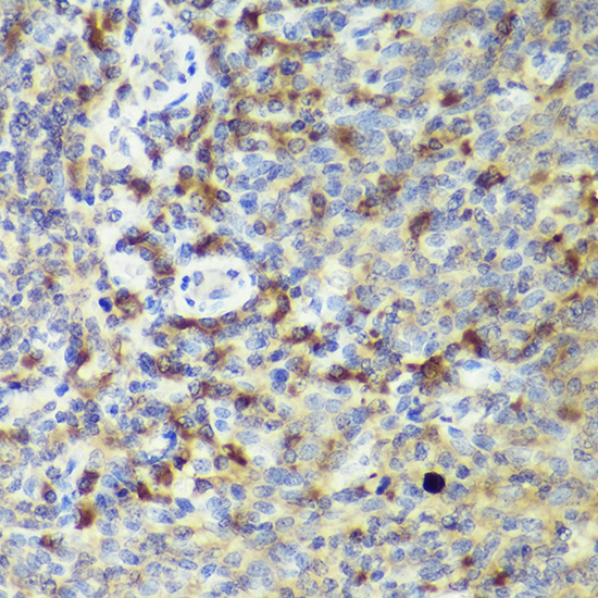
Applications :WB, IHC
Application_all :WB,1:500 - 1:2000|IHC,1:50 - 1:200
Background :Interleukin-18 (L-18) is a cytokine that belongs to the IL-1 superfamily and is produced by macrophages and other cells. IL-18 works by binding to the interleukin-18 receptor, and together with IL-12 it induces cell-mediated immunity following infection with microbial products like lipopolysaccharide (LPS). After stimulation with IL-18, natural killer (NK) cells and certain T cells release another important cytokine called interferon-γ (IFN-γ) or type II interferon that plays an important role in activating the macrophages or other cells. The combination of this cytokine and IL12 has been shown to inhibit IL-4 dependent IgE and IgG1 production, and enhance IgG2a production in B cells. IL-18 binding protein (IL18BP) can specifically interact with this cytokine, and thus negatively regulate its biological activity.
Product :1mg/ml in PBS with 0.02% sodium azide, 50% glycerol, pH7.2
Purification&Purity :The antibody was affinity-purified from rabbit antiserum by affinity-chromatography using epitope-specific immunogen and the purity is > 95% (by SDS-PAGE).
Storage&Stability :Store at 4°C short term. Aliquot and store at -20°C long term. Avoid freeze-thaw cycles.
Specificity :Unmodification
BiowMW :22kDa/18kDa
Note :For research use only, not for use in diagnostic procedure.
Alternative Name :Ig; Il-; Igif; Il-18
Immunogen :Recombinant fusion protein of mouse IL18(NP_032386.1).
Conjugate :Unconjugated
Modification :Unmodification
Western blot analysis of extracts of various cell lines, using IL18 antibody at 1:1000 dilution.
Secondary antibody: HRP Goat Anti-Rabbit IgG at 1:10000 dilution.
Lysates/proteins: 25ug per lane.
Blocking buffer: 3% nonfat dry milk in TBST.
Detection: ECL Basic Kit .
Exposure time: 30s.
Western blot analysis of extracts of Rat brain, using IL18 antibody at 1:1000 dilution.
Secondary antibody: HRP Goat Anti-Rabbit IgG at 1:10000 dilution.
Lysates/proteins: 25ug per lane.
Blocking buffer: 3% nonfat dry milk in TBST.
Detection: ECL Basic Kit .
Exposure time: 180s.

关注我们

400-660-9091

电话:025-68037686

地址:江苏生命科技创新园F6幢1层

订购:nanjing03@biogot.com

服务:biorase01@biogot.com

合作:lvyun@biogot.com

支持:may@biogot.com