中国 EN 400-660-9091

联系我们

电话:025-68037686

地址:江苏生命科技创新园F6幢1层

订购:nanjing03@biogot.com

服务:biorase01@biogot.com

合作:lvyun@biogot.com

支持:may@biogot.com

COL2A1 polyclonal antibody

货号: BS80235
价格 1140
货期 现货(1-2个工作日)
25ul 50ul 100ul 200ul
No. :BS80235
Product Name :COL2A1 polyclonal antibody
Swiss-Prot :P02458
Host :Rabbit
Reactivity :Human, Mouse, Rat
Applications :WB, IHC
Application_all :WB,1:500 - 1:1000|IHC,1:100 - 1:200
Background :This gene encodes the alpha-1 chain of type II collagen, a fibrillar collagen found in cartilage and the vitreous humor of the eye. Mutations in this gene are associated with achondrogenesis, chondrodysplasia, early onset familial osteoarthritis, SED congenita, Langer-Saldino achondrogenesis, Kniest dysplasia, Stickler syndrome type I, and spondyloepimetaphyseal dysplasia Strudwick type. In addition, defects in processing chondrocalcin, a calcium binding protein that is the C-propeptide of this collagen molecule, are also associated with chondrodysplasia. There are two transcripts identified for this gene.
Product :Rabbit IgG, 1mg/ml in PBS with 0.02% sodium azide, 50% glycerol, pH7.2
Purification&Purity :The antibody was affinity-purified from rabbit antiserum by affinity-chromatography using epitope-specific immunogen and the purity is > 95% (by SDS-PAGE).
Storage&Stability :Store at 4°C short term. Aliquot and store at -20°C long term. Avoid freeze-thaw cycles.
Specificity :COL2A1 polyclonal antibody detects endogenous levels of COL2A1 protein.
BiowMW :~ 220 kDa
Note :For research use only, not for use in diagnostic procedure.
Alternative Name :COL2A1;ANFH;AOM;COL11A3;SEDC;STL1
Immunogen :KLH-conjugated synthetic peptide encompassing a sequence within the N-term region of human COL2A1.
Conjugate :Unconjugated
Modification :Unmodified
Western blot analysis of COL2A1 expression in Panc1 (A) whole cell lysates.
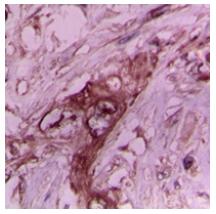
Immunohistochemical analysis of COL2A1 staining in human breast cancer formalin fixed paraffin embedded tissue section.

关注我们

400-660-9091

电话:025-68037686

地址:江苏生命科技创新园F6幢1层

订购:nanjing03@biogot.com

服务:biorase01@biogot.com

合作:lvyun@biogot.com

支持:may@biogot.com