中国 EN 400-660-9091

联系我们

电话:025-68037686

地址:江苏生命科技创新园F6幢1层

订购:nanjing03@biogot.com

服务:biorase01@biogot.com

合作:lvyun@biogot.com

支持:may@biogot.com

FOXG1 polyclonal antibody

货号: BS80081
价格 1140
货期 现货(1-2个工作日)
25ul 50ul 100ul 200ul
No. :BS80081
Product Name :FOXG1 polyclonal antibody
Swiss-Prot :P55316
Host :Rabbit
Reactivity :Human, Mouse, Rat
Applications :WB, IF/ICC
Application_all :WB,1:500 - 1:2000|IF/ICC,1:50 - 1:200
Background :This locus encodes a member of the forked-head transcription factor family. The encoded protein, which functions as a repressor, may play a role in brain development. Mutations at this locus have been associated with Rett syndrome.
Product :Rabbit IgG, 1mg/ml in PBS with 0.02% sodium azide, 50% glycerol, pH7.2
Purification&Purity :The antibody was affinity-purified from rabbit antiserum by affinity-chromatography using epitope-specific immunogen and the purity is > 95% (by SDS-PAGE).
Storage&Stability :Store at 4°C short term. Aliquot and store at -20°C long term. Avoid freeze-thaw cycles.
Specificity :FOXG1 polyclonal antibody detects endogenous levels of FOXG1 protein.
BiowMW :~ 52 kDa
Note :For research use only, not for use in diagnostic procedure.
Alternative Name :FOXG1;BF1;BF2;FHKL3;FKH2;FKHL1;FKHL2;FKHL3;FKHL4;FOXG1A;FOXG1B;FOXG1C;HBF-1;HBF-2;HBF-3;HBF-G2;HBF2;HFK1;HFK2;HFK3;KHL2;QIN
Immunogen :A synthetic peptide of human FOXG1(NP_005240.3).
Conjugate :Unconjugated
Modification :Unmodified
Western blot analysis of FOXG1 expression in HEK293T (A), mouse brain (B), mouse kidney (C), rat spleen (D) whole cell lysates.
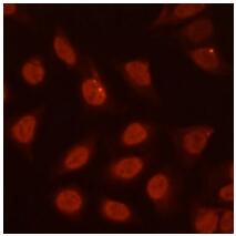
Immunofluorescent analysis of FOXG1 staining in U2OS cells.

关注我们

400-660-9091

电话:025-68037686

地址:江苏生命科技创新园F6幢1层

订购:nanjing03@biogot.com

服务:biorase01@biogot.com

合作:lvyun@biogot.com

支持:may@biogot.com