中国 EN 400-660-9091

联系我们

电话:025-68037686

地址:江苏生命科技创新园F6幢1层

订购:nanjing03@biogot.com

服务:biorase01@biogot.com

合作:lvyun@biogot.com

支持:may@biogot.com

p70 S6 Kinase 1 polyclonal antibody

货号: BS80031
价格 1140
货期 现货(1-2个工作日)
25ul 50ul 100ul 200ul
No. :BS80031
Product Name :p70 S6 Kinase 1 polyclonal antibody
Swiss-Prot :P23443
Host :Rabbit
Reactivity :Human, Mouse, Rat
Applications :WB, IHC, IF/ICC
Application_all :WB,1:500 - 1:2000|IHC,1:50 - 1:200|IF/ICC,1:50 - 1:200
Background :This gene encodes a member of the ribosomal S6 kinase family of serine/threonine kinases. The encoded protein responds to mTOR (mammalian target of rapamycin) signaling to promote protein synthesis, cell growth, and cell proliferation. Activity of this gene has been associated with human cancer. Alternatively spliced transcript variants have been observed. The use of alternative translation start sites results in isoforms with longer or shorter N-termini which may differ in their subcellular localizations. There are two pseudogenes for this gene on chromosome 17.
Product :1mg/ml in PBS with 0.02% sodium azide, 50% glycerol, pH7.2
Purification&Purity :The antibody was affinity-purified from rabbit antiserum by affinity-chromatography using epitope-specific immunogen and the purity is > 95% (by SDS-PAGE).
Storage&Stability :Store at 4°C short term. Aliquot and store at -20°C long term. Avoid freeze-thaw cycles.
Specificity :Unmodification
BiowMW :70KDa
Note :For research use only, not for use in diagnostic procedure.
Alternative Name :PS6K;S6K;S6K-beta-1;S6K1;STK14A;p70 S6KA;p70(S6K)-alpha;p70-S6K;p70-alpha;P70 S6K;RPS6KB1;p70S6KA
Immunogen :A synthetic peptide of human P70 S6K(NP_003152.1).
Conjugate :Unconjugated
Modification :Unmodification
Western blot analysis of extracts of various cell lines, using p70 S6 Kinase 1 1 antibody at 1:1000 dilution.
Secondary antibody: HRP Goat Anti-Rabbit IgG at 1:10000 dilution.
Lysates/proteins: 25ug per lane.
Blocking buffer: 3% nonfat dry milk in TBST.
Detection: ECL Basic Kit .
Exposure time: 1s.
Western blot analysis of extracts of various cell lines, using p70 S6 Kinase 1 1 antibody at 1:1000 dilution.
Secondary antibody: HRP Goat Anti-Rabbit IgG at 1:10000 dilution.
Lysates/proteins: 25ug per lane.
Blocking buffer: 3% nonfat dry milk in TBST.
Detection: ECL Basic Kit .
Exposure time: 10s.
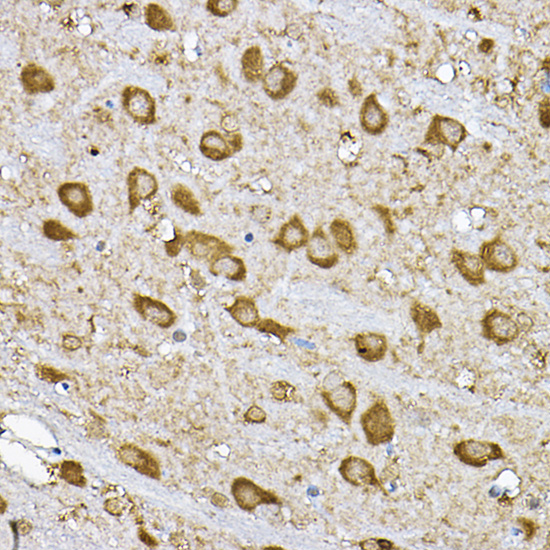
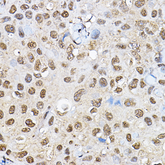
Immunohistochemistry of paraffin-embedded rat brain using p70 S6 Kinase 1 1 Rabbit pAb at dilution of 1:100 .Perform high pressure antigen retrieval with 10 mM citrate buffer pH 6.0 before commencing with IHC staining protocol.

关注我们

400-660-9091

电话:025-68037686

地址:江苏生命科技创新园F6幢1层

订购:nanjing03@biogot.com

服务:biorase01@biogot.com

合作:lvyun@biogot.com

支持:may@biogot.com