中国 EN 400-660-9091

联系我们

电话:025-68037686

地址:江苏生命科技创新园F6幢1层

订购:nanjing03@biogot.com

服务:biorase01@biogot.com

合作:lvyun@biogot.com

支持:may@biogot.com

WT1 polyclonal antibody

货号: BS80006
价格 1140
货期 现货(1-2个工作日)
25ul 50ul 100ul 200ul
No. :BS80006
Product Name :WT1 polyclonal antibody
Swiss-Prot :P19544
Host :Rabbit
Reactivity :Human, Mouse, Rat
Applications :WB, IHC, IF/ICC
Application_all :WB,1:500 - 1:2000|IHC,1:50 - 1:200|IF/ICC,1:50 - 1:200
Background :This gene encodes a transcription factor that contains four zinc-finger motifs at the C-terminus and a proline/glutamine-rich DNA-binding domain at the N-terminus. It has an essential role in the normal development of the urogenital system, and it is mutated in a small subset of patients with Wilms tumor. This gene exhibits complex tissue-specific and polymorphic imprinting pattern, with biallelic, and monoallelic expression from the maternal and paternal alleles in different tissues. Multiple transcript variants have been described. In several variants, there is evidence for the use of a non-AUG (CUG) translation initiation codon upstream of, and in-frame with the first AUG. Authors of PMID:7926762 also provide evidence that WT1 mRNA undergoes RNA editing in human and rat, and that this process is tissue-restricted and developmentally regulated.
Product :1mg/ml in PBS with 0.02% sodium azide, 50% glycerol, pH7.2
Purification&Purity :The antibody was affinity-purified from rabbit antiserum by affinity-chromatography using epitope-specific immunogen and the purity is > 95% (by SDS-PAGE).
Storage&Stability :Store at 4°C short term. Aliquot and store at -20°C long term. Avoid freeze-thaw cycles.
Specificity :Unmodification
BiowMW :49kDa
Note :For research use only, not for use in diagnostic procedure.
Alternative Name :WT1;AWT1;EWS-WT1;GUD;NPHS4;WAGR;WIT-2;WT33
Immunogen :Recombinant fusion protein of human WT1(NP_001185480.1).
Conjugate :Unconjugated
Modification :Unmodification
Western blot analysis of extracts of various cell lines, using WT1 antibody at 1:1000 dilution.
Secondary antibody: HRP Goat Anti-Rabbit IgG at 1:10000 dilution.
Lysates/proteins: 25ug per lane.
Blocking buffer: 3% nonfat dry milk in TBST.
Detection: ECL Basic Kit .
Exposure time: 3min.
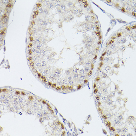
Immunohistochemistry of paraffin-embedded mouse testis using WT1 Rabbit pAb at dilution of 1:250 .Perform high pressure antigen retrieval with 10 mM citrate buffer pH 6.0 before commencing with IHC staining protocol.
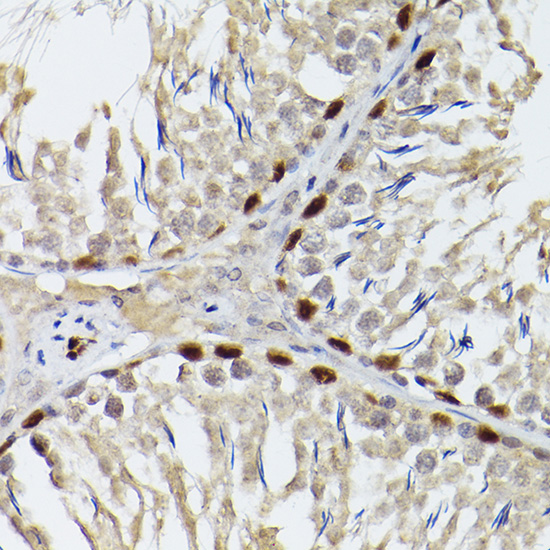
Immunohistochemistry of paraffin-embedded rat testis using WT1 Rabbit pAb at dilution of 1:250 .Perform high pressure antigen retrieval with 10 mM citrate buffer pH 6.0 before commencing with IHC staining protocol.

关注我们

400-660-9091

电话:025-68037686

地址:江苏生命科技创新园F6幢1层

订购:nanjing03@biogot.com

服务:biorase01@biogot.com

合作:lvyun@biogot.com

支持:may@biogot.com