中国 EN 400-660-9091

联系我们

电话:025-68037686

地址:江苏生命科技创新园F6幢1层

订购:nanjing03@biogot.com

服务:biorase01@biogot.com

合作:lvyun@biogot.com

支持:may@biogot.com

TGFB2 polyclonal antibody

货号: BS79995
价格 1140
货期 现货(1-2个工作日)
25ul 50ul 100ul 200ul
No. :BS79995
Product Name :TGFB2 polyclonal antibody
Swiss-Prot :P61812
Host :Rabbit
Reactivity :Human
Applications :WB, IHC
Application_all :WB,1:500 - 1:2000|IHC,1:50 - 1:200
Background :This gene encodes a member of the transforming growth factor beta (TGFB) family of cytokines, which are multifunctional peptides that regulate proliferation, differentiation, adhesion, migration, and other functions in many cell types by transducing their signal through combinations of transmembrane type I and type II receptors (TGFBR1 and TGFBR2) and their downstream effectors, the SMAD proteins. Disruption of the TGFB/SMAD pathway has been implicated in a variety of human cancers. The encoded protein is secreted and has suppressive effects of interleukin-2 dependent T-cell growth. Translocation t(1;7)(q41;p21) between this gene and HDAC9 is associated with Peters' anomaly, a congenital defect of the anterior chamber of the eye. The knockout mice lacking this gene show perinatal mortality and a wide range of developmental, including cardiac, defects. Alternatively spliced transcript variants encoding different isoforms have been identified.
Product :1mg/ml in PBS with 0.02% sodium azide, 50% glycerol, pH7.2
Purification&Purity :The antibody was affinity-purified from rabbit antiserum by affinity-chromatography using epitope-specific immunogen and the purity is > 95% (by SDS-PAGE).
Storage&Stability :Store at 4°C short term. Aliquot and store at -20°C long term. Avoid freeze-thaw cycles.
Specificity :Unmodification
BiowMW :Refer to figures
Note :For research use only, not for use in diagnostic procedure.
Alternative Name :TGFB2;G-TSF;LDS4;TGF-beta2
Immunogen :Recombinant fusion protein of human TGFB2(NP_001129071.1).
Conjugate :Unconjugated
Modification :Unmodification
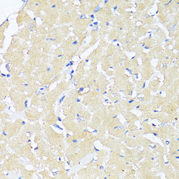
Immunohistochemistry of paraffin-embedded rat liver using TGFB2 antibody at dilution of 1:100 .Perform microwave antigen retrieval with 10 mM PBS buffer pH 7.2 before commencing with IHC staining protocol.
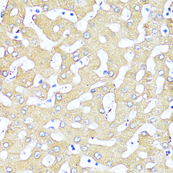
Immunohistochemistry of paraffin-embedded human liver using TGFB2 antibody at dilution of 1:100 .Perform microwave antigen retrieval with 10 mM PBS buffer pH 7.2 before commencing with IHC staining protocol.
Immunohistochemistry of paraffin-embedded human liver cancer using TGFB2 antibody at dilution of 1:100 .Perform microwave antigen retrieval with 10 mM PBS buffer pH 7.2 before commencing with IHC staining protocol.
Immunohistochemistry of paraffin-embedded mouse heart using TGFB2 antibody at dilution of 1:100 .Perform microwave antigen retrieval with 10 mM PBS buffer pH 7.2 before commencing with IHC staining protocol.

关注我们

400-660-9091

电话:025-68037686

地址:江苏生命科技创新园F6幢1层

订购:nanjing03@biogot.com

服务:biorase01@biogot.com

合作:lvyun@biogot.com

支持:may@biogot.com