中国 EN 400-660-9091

联系我们

电话:025-68037686

地址:江苏生命科技创新园F6幢1层

订购:nanjing03@biogot.com

服务:biorase01@biogot.com

合作:lvyun@biogot.com

支持:may@biogot.com

MMP13 polyclonal antibody

货号: BS79990
价格 1140
货期 现货(1-2个工作日)
25ul 50ul 100ul 200ul
No. :BS79990
Product Name :MMP13 polyclonal antibody
Swiss-Prot :P45452
Host :Rabbit
Reactivity :Human, Mouse, Rat
Applications :WB, IHC, IF/ICC
Application_all :WB,1:500 - 1:1000|IHC,1:100 - 1:200|IF/ICC,1:100 - 1:500
Background :This gene encodes a member of the peptidase M10 family of matrix metalloproteinases (MMPs). Proteins in this family are involved in the breakdown of extracellular matrix in normal physiological processes, such as embryonic development, reproduction, and tissue remodeling, as well as in disease processes, such as arthritis and metastasis. The encoded preproprotein is proteolytically processed to generate the mature protease. This protease cleaves type II collagen more efficiently than types I and III. It may be involved in articular cartilage turnover and cartilage pathophysiology associated with osteoarthritis. Mutations in this gene are associated with metaphyseal anadysplasia. This gene is part of a cluster of MMP genes on chromosome 11.
Product :Rabbit IgG, 1mg/ml in PBS with 0.02% sodium azide, 50% glycerol, pH7.2
Purification&Purity :The antibody was affinity-purified from rabbit antiserum by affinity-chromatography using epitope-specific immunogen and the purity is > 95% (by SDS-PAGE).
Storage&Stability :Store at 4°C short term. Aliquot and store at -20°C long term. Avoid freeze-thaw cycles.
Specificity :MMP13 polyclonal antibody detects endogenous levels of MMP13 protein.
BiowMW :~ 53, 34 kDa
Note :For research use only, not for use in diagnostic procedure.
Alternative Name :MMP13;CLG3;MANDP1;MDST;MMP-13
Immunogen :KLH-conjugated synthetic peptide encompassing a sequence within the N-term region of human MMP13.
Conjugate :Unconjugated
Modification :Unmodified
Western blot analysis of MMP13 expression in HEK293T (A), Hela (B), mouse lung (C), rat lung (D) whole cell lysates.
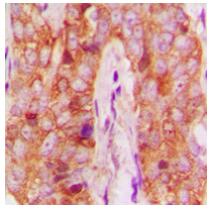
Immunohistochemical analysis of MMP13 staining in human breast cancer formalin fixed paraffin embedded tissue section.
Immunofluorescent analysis of MMP13 staining in HeLa cells.

关注我们

400-660-9091

电话:025-68037686

地址:江苏生命科技创新园F6幢1层

订购:nanjing03@biogot.com

服务:biorase01@biogot.com

合作:lvyun@biogot.com

支持:may@biogot.com