中国 EN 400-660-9091

联系我们

电话:025-68037686

地址:江苏生命科技创新园F6幢1层

订购:nanjing03@biogot.com

服务:biorase01@biogot.com

合作:lvyun@biogot.com

支持:may@biogot.com

ZNRF3 polyclonal antibody

货号: BS79988
价格 1140
货期 现货(1-2个工作日)
25ul 50ul 100ul 200ul
No. :BS79988
Product Name :ZNRF3 polyclonal antibody
Swiss-Prot :Q9ULT6
Host :Rabbit
Reactivity :Human, Mouse, Rat
Applications :WB, IHC
Application_all :WB,1:500 - 1:2000|IHC,1:50 - 1:200
Background :E3 ubiquitin-protein ligase that acts as a negative regulator of the Wnt signaling pathway by mediating the ubiquitination and subsequent degradation of Wnt receptor complex components Frizzled and LRP6. Acts on both canonical and non-canonical Wnt signaling pathway. Acts as a tumor suppressor in the intestinal stem cell zone by inhibiting the Wnt signaling pathway, thereby resticting the size of the intestinal stem cell zone. Along with RSPO2 and RNF43, constitutes a master switch that governs limb specification (By similarity.
Product :1mg/ml in PBS with 0.02% sodium azide, 50% glycerol, pH7.2
Purification&Purity :The antibody was affinity-purified from rabbit antiserum by affinity-chromatography using epitope-specific immunogen and the purity is > 95% (by SDS-PAGE).
Storage&Stability :Store at 4°C short term. Aliquot and store at -20°C long term. Avoid freeze-thaw cycles.
Specificity :Unmodification
BiowMW :101KDa
Note :For research use only, not for use in diagnostic procedure.
Alternative Name :ZNRF3;BK747E2.3;RNF203
Immunogen :A synthetic peptide of human ZNRF3(NP_001193927.1).
Conjugate :Unconjugated
Modification :Unmodification
Western blot analysis of extracts of Mouse testis, using ZNRF3 antibody at 1:3416 dilution.
Secondary antibody: HRP Goat Anti-Rabbit IgG at 1:10000 dilution.
Lysates/proteins: 25ug per lane.
Blocking buffer: 3% nonfat dry milk in TBST.
Detection: ECL Basic Kit .
Exposure time: 180s.
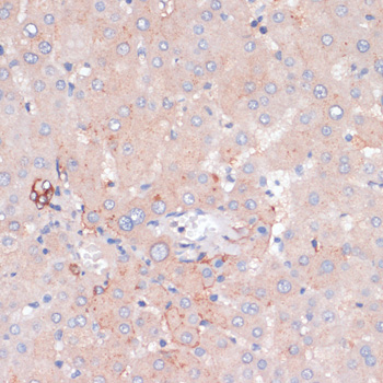
Immunohistochemistry of paraffin-embedded human liver using ZNRF3 antibody at dilution of 1:100 .Perform microwave antigen retrieval with 10 mM PBS buffer pH 7.2 before commencing with IHC staining protocol.
Immunohistochemistry of paraffin-embedded mouse spleen using ZNRF3 antibody at dilution of 1:100 .Perform microwave antigen retrieval with 10 mM PBS buffer pH 7.2 before commencing with IHC staining protocol.
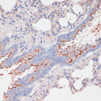
Immunohistochemistry of paraffin-embedded rat lung using ZNRF3 antibody at dilution of 1:100 .Perform microwave antigen retrieval with 10 mM PBS buffer pH 7.2 before commencing with IHC staining protocol.

关注我们

400-660-9091

电话:025-68037686

地址:江苏生命科技创新园F6幢1层

订购:nanjing03@biogot.com

服务:biorase01@biogot.com

合作:lvyun@biogot.com

支持:may@biogot.com