中国 EN 400-660-9091

联系我们

电话:025-68037686

地址:江苏生命科技创新园F6幢1层

订购:nanjing03@biogot.com

服务:biorase01@biogot.com

合作:lvyun@biogot.com

支持:may@biogot.com

MYH4 polyclonal antibody

货号: BS79958
价格 1140
货期 现货(1-2个工作日)
25ul 50ul 100ul 200ul
No. :BS79958
Product Name :MYH4 polyclonal antibody
Swiss-Prot :Q9Y623
Host :Rabbit
Reactivity :Human, Mouse, Rat
Applications :WB, IHC, IF/ICC
Application_all :WB,1:200 - 1:2000|IHC,1:50 - 1:200|IF/ICC,1:50 - 1:200
Background :Muscle contraction.
Product :1mg/ml in PBS with 0.02% sodium azide, 50% glycerol, pH7.2
Purification&Purity :The antibody was affinity-purified from rabbit antiserum by affinity-chromatography using epitope-specific immunogen and the purity is > 95% (by SDS-PAGE).
Storage&Stability :Store at 4°C short term. Aliquot and store at -20°C long term. Avoid freeze-thaw cycles.
Specificity :Unmodification
BiowMW :250KDa
Note :For research use only, not for use in diagnostic procedure.
Alternative Name :MYH4;MYH2B;MyHC-2B;MyHC-IIb;myosin-4
Immunogen :A synthetic peptide of human MYH4(NP_060003.2).
Conjugate :Unconjugated
Modification :Unmodification
Western blot analysis of Mouse skeletal muscle, using MYH4 antibody at 1:400 dilution.
Secondary antibody: HRP Goat Anti-Rabbit IgG at 1:10000 dilution.
Lysates/proteins: 25ug per lane.
Blocking buffer: 3% nonfat dry milk in TBST.
Detection: ECL Basic Kit .
Exposure time: 90s.
Western blot analysis of various lysates, using MYH4 antibody at 1:400 dilution.
Secondary antibody: HRP Goat Anti-Rabbit IgG at 1:10000 dilution.
Lysates/proteins: 25ug per lane.
Blocking buffer: 3% nonfat dry milk in TBST.
Detection: ECL Enhanced Kit .
Exposure time: 60s.
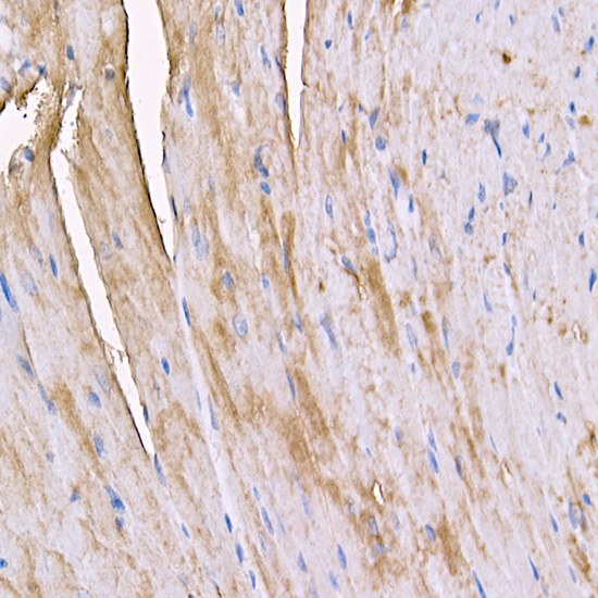
Immunohistochemistry of paraffin-embedded mouse heart using MYH4 antibody at dilution of 1:150 .Perform high pressure antigen retrieval with 10 mM citrate buffer pH 6.0 before commencing with IHC staining protocol.
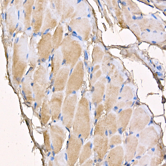
Immunohistochemistry of paraffin-embedded mouse skeletal muscle using MYH4 antibody at dilution of 1:150 .Perform high pressure antigen retrieval with 10 mM citrate buffer pH 6.0 before commencing with IHC staining protocol.

关注我们

400-660-9091

电话:025-68037686

地址:江苏生命科技创新园F6幢1层

订购:nanjing03@biogot.com

服务:biorase01@biogot.com

合作:lvyun@biogot.com

支持:may@biogot.com