中国 EN 400-660-9091

联系我们

电话:025-68037686

地址:江苏生命科技创新园F6幢1层

订购:nanjing03@biogot.com

服务:biorase01@biogot.com

合作:lvyun@biogot.com

支持:may@biogot.com

ZEB1 polyclonal antibody

货号: BS79939
价格 1140
货期 现货(1-2个工作日)
25ul 50ul 100ul 200ul
No. :BS79939
Product Name :ZEB1 polyclonal antibody
Swiss-Prot :P37275
Host :Rabbit
Reactivity :Human, Mouse, Rat
Applications :WB, IHC, IF/ICC
Application_all :WB,1:500 - 1:1000|IHC,1:50 - 1:200|IF/ICC,1:100 - 1:200
Background :This gene encodes a zinc finger transcription factor. The encoded protein likely plays a role in transcriptional repression of interleukin 2. Mutations in this gene have been associated with posterior polymorphous corneal dystrophy-3 and late-onset Fuchs endothelial corneal dystrophy. Alternatively spliced transcript variants encoding different isoforms have been described.
Product :1mg/ml in PBS with 0.02% sodium azide, 50% glycerol, pH7.2
Purification&Purity :The antibody was affinity-purified from rabbit antiserum by affinity-chromatography using epitope-specific immunogen and the purity is > 95% (by SDS-PAGE).
Storage&Stability :Store at 4°C short term. Aliquot and store at -20°C long term. Avoid freeze-thaw cycles.
Specificity :Unmodification
BiowMW :200KDa
Note :For research use only, not for use in diagnostic procedure.
Alternative Name :ZEB1;AREB6;BZP;DELTAEF1;FECD6;NIL2A;PPCD3;TCF8;ZFHEP;ZFHX1A
Immunogen :Recombinant fusion protein of human ZEB1(NP_110378.3).
Conjugate :Unconjugated
Modification :Unmodification
Western blot analysis of extracts of Jurkat cells, using ZEB1 Rabbit pAb at 1:1000 dilution.
Secondary antibody: HRP Goat Anti-Rabbit IgG at 1:10000 dilution.
Lysates/proteins: 25ug per lane.
Blocking buffer: 3% nonfat dry milk in TBST.
Detection: ECL Basic Kit .
Exposure time: 3s.
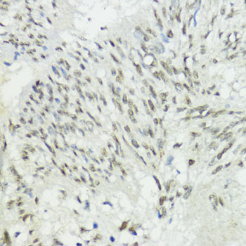
Immunohistochemistry of paraffin-embedded human gastric cancer using ZEB1 antibody at dilution of 1:200 .Perform microwave antigen retrieval with 10 mM PBS buffer pH 7.2 before commencing with IHC staining protocol.

关注我们

400-660-9091

电话:025-68037686

地址:江苏生命科技创新园F6幢1层

订购:nanjing03@biogot.com

服务:biorase01@biogot.com

合作:lvyun@biogot.com

支持:may@biogot.com