中国 EN 400-660-9091

联系我们

电话:025-68037686

地址:江苏生命科技创新园F6幢1层

订购:nanjing03@biogot.com

服务:biorase01@biogot.com

合作:lvyun@biogot.com

支持:may@biogot.com

AQP5 polyclonal antibody

货号: BS79856
价格 1140
货期 现货(1-2个工作日)
25ul 50ul 100ul 200ul
No. :BS79856
Product Name :AQP5 polyclonal antibody
Swiss-Prot :P55064
Host :Rabbit
Reactivity :Mouse, Rat
Applications :WB, IHC
Application_all :WB,1:500 - 1:2000|IHC,1:50 - 1:200
Background :Aquaporin 5 (AQP5) is a water channel protein. Aquaporins are a family of small integral membrane proteins related to the major intrinsic protein (MIP or AQP0). Aquaporin 5 plays a role in the generation of saliva, tears and pulmonary secretions. AQP0, AQP2, AQP5, and AQP6 are closely related and all map to 12q13.
Product :1mg/ml in PBS with 0.02% sodium azide, 50% glycerol, pH7.2
Purification&Purity :The antibody was affinity-purified from rabbit antiserum by affinity-chromatography using epitope-specific immunogen and the purity is > 95% (by SDS-PAGE).
Storage&Stability :Store at 4°C short term. Aliquot and store at -20°C long term. Avoid freeze-thaw cycles.
Specificity :Unmodification
BiowMW :28KDa
Note :For research use only, not for use in diagnostic procedure.
Alternative Name :AQP5;AQP-5;PPKB
Immunogen :A synthetic peptide of human AQP5(NP_001642.1).
Conjugate :Unconjugated
Modification :Unmodification
Western blot analysis of extracts of various cell lines, using AQP5 antibody at 1:1000 dilution.
Secondary antibody: HRP Goat Anti-Rabbit IgG at 1:10000 dilution.
Lysates/proteins: 25ug per lane.
Blocking buffer: 3% nonfat dry milk in TBST.
Detection: ECL Basic Kit .
Exposure time: 10s.
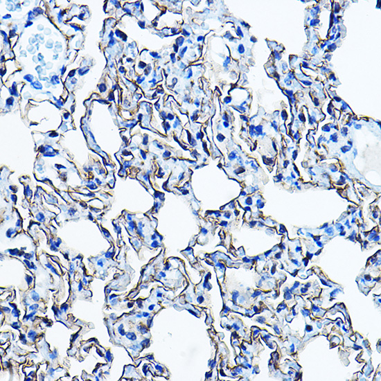
Immunohistochemistry of paraffin-embedded rat lung using AQP5 Rabbit pAb at dilution of 1:100 .Perform high pressure antigen retrieval with 10 mM citrate buffer pH 6.0 before commencing with IHC staining protocol.
  • Gemigliptin Improves Salivary Gland Dysfunction in D-Galactose-Injected Aging Rats
    JournalPharmaceutics
    ApplicationWB,IHC
    IF5.4
    SpeciesRat
    PMID

关注我们

400-660-9091

电话:025-68037686

地址:江苏生命科技创新园F6幢1层

订购:nanjing03@biogot.com

服务:biorase01@biogot.com

合作:lvyun@biogot.com

支持:may@biogot.com