中国 EN 400-660-9091

联系我们

电话:025-68037686

地址:江苏生命科技创新园F6幢1层

订购:nanjing03@biogot.com

服务:biorase01@biogot.com

合作:lvyun@biogot.com

支持:may@biogot.com

DDIT3/CHOP polyclonal antibody

货号: BS79646
价格 1140
货期 现货(1-2个工作日)
25ul 50ul 100ul
No. :BS79646
Product Name :DDIT3/CHOP polyclonal antibody
Swiss-Prot :P35638
Host :Rabbit
Reactivity :Mouse, Rat
Applications :WB, IHC, IP
Application_all :WB,1:500 - 1:2000|IHC,1:50 - 1:200|IP,1:100 - 1:500
Background :This gene encodes a member of the CCAAT/enhancer-binding protein (C/EBP) family of transcription factors. The protein functions as a dominant-negative inhibitor by forming heterodimers with other C/EBP members, such as C/EBP and LAP (liver activator protein), and preventing their DNA binding activity. The protein is implicated in adipogenesis and erythropoiesis, is activated by endoplasmic reticulum stress, and promotes apoptosis. Fusion of this gene and FUS on chromosome 16 or EWSR1 on chromosome 22 induced by translocation generates chimeric proteins in myxoid liposarcomas or Ewing sarcoma. Multiple alternatively spliced transcript variants encoding two isoforms with different length have been identified.
Product :1mg/ml in PBS with 0.02% sodium azide, 50% glycerol, pH7.2
Purification&Purity :The antibody was affinity-purified from rabbit antiserum by affinity-chromatography using epitope-specific immunogen and the purity is > 95% (by SDS-PAGE).
Storage&Stability :Store at 4°C short term. Aliquot and store at -20°C long term. Avoid freeze-thaw cycles.
Specificity :Unmodification
BiowMW :30KDa
Note :For research use only, not for use in diagnostic procedure.
Alternative Name :DDIT3;CEBPZ;CHOP;CHOP-10;CHOP10;GADD153;C/EBPzeta;DDIT3 / CHOP
Immunogen :Recombinant fusion protein of human DDIT3/CHOP(NP_004074.2).
Conjugate :Unconjugated
Modification :Unmodification
Western blot analysis of extracts of C6 cells, using DDIT3/CHOP antibody at 1:1000 dilution.C6 cells were treated by tunicamycin for 8 hours.
Secondary antibody: HRP Goat Anti-Rabbit IgG at 1:10000 dilution.
Lysates/proteins: 25ug per lane.
Blocking buffer: 3% nonfat dry milk in TBST.
Detection: ECL Basic Kit .
Exposure time: 90s.
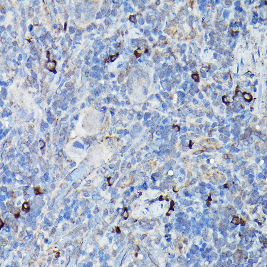
Immunohistochemistry of paraffin-embedded mouse spleen using DDIT3/CHOP Rabbit pAb at dilution of 1:200 .Perform high pressure antigen retrieval with 10 mM citrate buffer pH 6.0 before commencing with IHC staining protocol.
Immunohistochemistry of paraffin-embedded rat spleen using DDIT3/CHOP Rabbit pAb at dilution of 1:200 .Perform high pressure antigen retrieval with 10 mM citrate buffer pH 6.0 before commencing with IHC staining protocol.
Immunoprecipitation analysis of 300ug extracts of C2C12 tunicamycin cells using 3ug DDIT3/CHOP antibody . Western blot was performed from the immunoprecipitate using DDIT3/CHOP antibody at a dilution of 1:500.

关注我们

400-660-9091

电话:18013895086

地址:江苏生命科技创新园F6幢1层

订购:nanjing03@biogot.com

服务:biorase01@biogot.com

合作:lvyun@biogot.com

支持:may@biogot.com