中国 EN 400-660-9091

联系我们

电话:025-68037686

地址:江苏生命科技创新园F6幢1层

订购:nanjing03@biogot.com

服务:biorase01@biogot.com

合作:lvyun@biogot.com

支持:may@biogot.com

LC3B polyclonal antibody

货号: BS79637
价格 1140
货期 现货(1-2个工作日)
25ul 50ul 100ul
No. :BS79637
Product Name :LC3B polyclonal antibody
Swiss-Prot :Q9GZQ8
Host :Rabbit
Reactivity :Human, Mouse, Rat
Applications :WB, IHC, IF/ICC
Application_all :WB,1:500 - 1:2000|IHC,1:200 - 1:500|IF/ICC,1:100 - 1:200
Background :The product of this gene is a subunit of neuronal microtubule-associated MAP1A and MAP1B proteins, which are involved in microtubule assembly and important for neurogenesis. Studies on the rat homolog implicate a role for this gene in autophagy, a process that involves the bulk degradation of cytoplasmic component.
Product :Rabbit IgG, 1mg/ml in PBS with 0.02% sodium azide, 50% glycerol, pH7.2
Purification&Purity :The antibody was affinity-purified from rabbit antiserum by affinity-chromatography using epitope-specific immunogen and the purity is > 95% (by SDS-PAGE).
Storage&Stability :Store at 4°C short term. Aliquot and store at -20°C long term. Avoid freeze-thaw cycles.
Specificity :LC3B polyclonal antibody detects endogenous levels of LC3B protein.
BiowMW :14KDa/16KDa
Note :For research use only, not for use in diagnostic procedure.
Alternative Name :LC3B;ATG8F;MAP1LC3B-a;MAP1A/1BLC3;MAP1LC3B;LC3A/LC3B
Immunogen :Recombinant fusion protein of human LC3B(NP_073729.1).
Conjugate :Unconjugated
Modification :Unmodified
Western blot analysis of LC3B expression in Hela (A), NIH3T3 (B), rat brain (C) whole cell lysates.
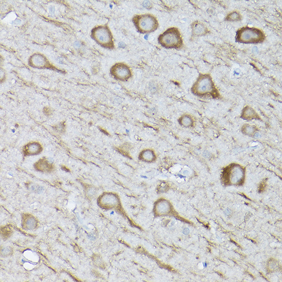
Immunohistochemical analysis of LC3B staining in rat brain formalin fixed paraffin embedded tissue section.
Immunofluorescent analysis of LC3B staining in Hela cells.
Immunohistochemistry of paraffin-embedded human uterine cancer using HMGCR antibody at dilution of 1:200 .Perform microwave antigen retrieval with 10 mM PBS buffer pH 7.2 before commencing with IHC staining protocol.

关注我们

400-660-9091

电话:18013895086

地址:江苏生命科技创新园F6幢1层

订购:nanjing03@biogot.com

服务:biorase01@biogot.com

合作:lvyun@biogot.com

支持:may@biogot.com