中国 EN 400-660-9091

联系我们

电话:025-68037686

地址:江苏生命科技创新园F6幢1层

订购:nanjing03@biogot.com

服务:biorase01@biogot.com

合作:lvyun@biogot.com

支持:may@biogot.com

TNF-α polyclonal antibody

货号: BS79539
价格 1140
货期 现货(1-2个工作日)
25ul 50ul 100ul
No. :BS79539
Product Name :TNF-α polyclonal antibody
Swiss-Prot :P01375
Host :Rabbit
Reactivity :Human, Mouse, Rat
Applications :WB,IHC, IF/ICC
Application_all :WB,1:500 - 1:2000|IHC,1:50 - 1:200|IF/ICC,1:50 - 1:200
Background :This gene encodes a multifunctional proinflammatory cytokine that belongs to the tumor necrosis factor (TNF) superfamily. This cytokine is mainly secreted by macrophages. It can bind to, and thus functions through its receptors TNFRSF1A/TNFR1 and TNFRSF1B/TNFBR. This cytokine is involved in the regulation of a wide spectrum of biological processes including cell proliferation, differentiation, apoptosis, lipid metabolism, and coagulation. This cytokine has been implicated in a variety of diseases, including autoimmune diseases, insulin resistance, and cancer. Knockout studies in mice also suggested the neuroprotective function of this cytokine.
Product :1mg/ml in PBS with 0.02% sodium azide, 50% glycerol, pH7.2
Purification&Purity :The antibody was affinity-purified from rabbit antiserum by affinity-chromatography using epitope-specific immunogen and the purity is > 95% (by SDS-PAGE).
Storage&Stability :Store at 4°C short term. Aliquot and store at -20°C long term. Avoid freeze-thaw cycles.
Specificity :Unmodification
BiowMW :Refer to figures
Note :For research use only, not for use in diagnostic procedure.
Alternative Name :TNF;DIF;TNF-alpha;TNFA;TNFSF2;TNLG1F;TNF alpha
Immunogen :A synthetic peptide of human TNF(NP_000585.2).
Conjugate :Unconjugated
Modification :Unmodification
Immunohistochemistry of paraffin-embedded human colon carcinoma using TNF-α Rabbit pAb at dilution of 1:25 .Perform high pressure antigen retrieval with 10 mM citrate buffer pH 6.0 before commencing with IHC staining protocol.
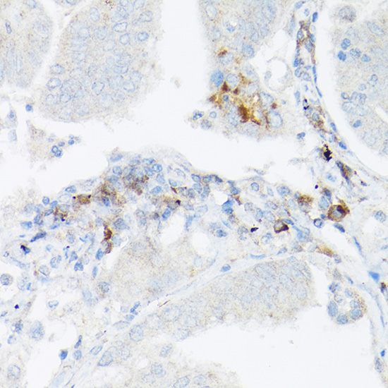
Immunohistochemistry of paraffin-embedded human lung cancer using TNF-α Rabbit pAb at dilution of 1:25 .Perform high pressure antigen retrieval with 10 mM citrate buffer pH 6.0 before commencing with IHC staining protocol.
Immunohistochemistry of paraffin-embedded rat spleen using TNF-α Rabbit pAb at dilution of 1:25 .Perform high pressure antigen retrieval with 10 mM citrate buffer pH 6.0 before commencing with IHC staining protocol.
Immunofluorescence analysis of Human mammary cancer cells using TNF-α antibody at dilution of 1:100. Blue: DAPI for nuclear staining.
  • Scorpion venom heat-resistant peptide alleviates mitochondrial dynamics imbalance induced by PM2.5 exposure by downregulating the PGC-1α/SIRT3 signaling pathway
    JournalToxicology Research
    ApplicationWB
    IF2.1
    SpeciesMouse
    PMID

关注我们

400-660-9091

电话:18013895086

地址:江苏生命科技创新园F6幢1层

订购:nanjing03@biogot.com

服务:biorase01@biogot.com

合作:lvyun@biogot.com

支持:may@biogot.com