中国 EN 400-660-9091

联系我们

电话:025-68037686

地址:江苏生命科技创新园F6幢1层

订购:nanjing03@biogot.com

服务:biorase01@biogot.com

合作:lvyun@biogot.com

支持:may@biogot.com

Phospho-STAT3-S727 polyclonal antibody

货号: BS79377
价格 1680
货期 现货(1-2个工作日)
25ul 50ul 100ul
No. :BS79377
Product Name :Phospho-STAT3-S727 polyclonal antibody
Swiss-Prot :P40763
Host :Rabbit
Reactivity :Human, Mouse, Rat
Applications :WB, IHC, IP
Application_all :WB,1:500 - 1:2000|IHC,1:50 - 1:200|IP,1:50 - 1:100
Background :The protein encoded by this gene is a member of the STAT protein family. In response to cytokines and growth factors, STAT family members are phosphorylated by the receptor associated kinases, and then form homo- or heterodimers that translocate to the cell nucleus where they act as transcription activators. This protein is activated through phosphorylation in response to various cytokines and growth factors including IFNs, EGF, IL5, IL6, HGF, LIF and BMP2. This protein mediates the expression of a variety of genes in response to cell stimuli, and thus plays a key role in many cellular processes such as cell growth and apoptosis. The small GTPase Rac1 has been shown to bind and regulate the activity of this protein. PIAS3 protein is a specific inhibitor of this protein. Mutations in this gene are associated with infantile-onset multisystem autoimmune disease and hyper-immunoglobulin E syndrome. Alternative splicing results in multiple transcript variants encoding distinct isoforms.
Product :1mg/ml in PBS with 0.02% sodium azide, 50% glycerol, pH7.2
Purification&Purity :The antibody was affinity-purified from rabbit antiserum by affinity-chromatography using epitope-specific immunogen and the purity is > 95% (by SDS-PAGE).
Storage&Stability :Store at 4°C short term. Aliquot and store at -20°C long term. Avoid freeze-thaw cycles.
Specificity :Phosphorylated
BiowMW :86KDa
Note :For research use only, not for use in diagnostic procedure.
Alternative Name :ADMIO;ADMIO1;APRF;HIES;STAT3;Stat3
Immunogen :A synthetic phosphorylated peptide around S727 of human Phospho-STAT3-S727(NP_644805.1).
Conjugate :Unconjugated
Modification :Phosphorylated
Western blot analysis of extracts of HeLa cells, using Phospho-STAT3-S727 antibody at 1:1000 dilution.HeLa cells were treated by UV at room temperature for 15-30 minutes.HeLa cells were treated by PMA/TPA at 37℃ for 15 minutes after serum-starvation overnight.
Secondary antibody: HRP Goat Anti-Rabbit IgG at 1:10000 dilution.
Lysates/proteins: 25ug per lane.
Blocking buffer: 3% nonfat dry milk in TBST.
Detection: ECL Basic Kit .
Exposure time: 1s.
Western blot analysis of extracts of various cell lines, using Phospho-STAT3-S727 antibody at 1:1000 dilution.HepG2 cells and C6 cells were treated by PMA/TPA at 37℃ for 30 minutes after serum-starvation overnight.HepG2 cells were treated by CIP at 37℃ for 1 hour.
Secondary antibody: HRP Goat Anti-Rabbit IgG at 1:10000 dilution.
Lysates/proteins: 25ug per lane.
Blocking buffer: 3% nonfat dry milk in TBST.
Detection: ECL Basic Kit .
Exposure time: 1s.
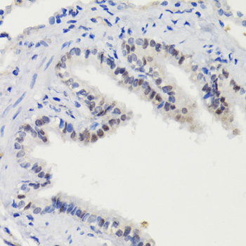
Immunohistochemistry of paraffin-embedded rat lung using Phospho-STAT3-S727 antibody at dilution of 1:100 .Perform microwave antigen retrieval with 10 mM Tris/EDTA buffer pH 9.0 before commencing with IHC staining protocol.
Immunohistochemistry of paraffin-embedded human breast cancer using Phospho-STAT3-S727 antibody at dilution of 1:100 .Perform microwave antigen retrieval with 10 mM Tris/EDTA buffer pH 9.0 before commencing with IHC staining protocol.

关注我们

400-660-9091

电话:18013895086

地址:江苏生命科技创新园F6幢1层

订购:nanjing03@biogot.com

服务:biorase01@biogot.com

合作:lvyun@biogot.com

支持:may@biogot.com