中国 EN 400-660-9091

联系我们

电话:025-68037686

地址:江苏生命科技创新园F6幢1层

订购:nanjing03@biogot.com

服务:biorase01@biogot.com

合作:lvyun@biogot.com

支持:may@biogot.com

FZD4 polyclonal antibody

货号: BS79010
价格 1140
货期 现货(1-2个工作日)
25ul 50ul 100ul
No. :BS79010
Product Name :FZD4 polyclonal antibody
Swiss-Prot :Q9ULV1
Host :Rabbit
Reactivity :Human, Mouse, Rat
Applications :WB, IHC
Application_all :WB,1:500 - 1:1000|IHC,1:50 - 1:100
Background :This gene is a member of the frizzled gene family. Members of this family encode seven-transmembrane domain proteins that are receptors for the Wingless type MMTV integration site family of signaling proteins. Most frizzled receptors are coupled to the beta-catenin canonical signaling pathway. This protein may play a role as a positive regulator of the Wingless type MMTV integration site signaling pathway. A transcript variant retaining intronic sequence and encoding a shorter isoform has been described, however, its expression is not supported by other experimental evidence.
Product :Rabbit IgG, 1mg/ml in PBS with 0.02% sodium azide, 50% glycerol, pH7.4.
Purification&Purity :The antibody was affinity-purified from rabbit antiserum by affinity-chromatography using epitope-specific immunogen and the purity is > 95% (by SDS-PAGE).
Storage&Stability :Store at 4°C short term. Aliquot and store at -20°C long term. Avoid freeze-thaw cycles.
Specificity :FZD4 polyclonal antibody detects endogenous levels of FZD4 protein.
BiowMW :~ 59 kDa
Note :For research use only, not for use in diagnostic procedure.
Alternative Name :FZD4;CD344;EVR1;FEVR;FZD4S;Fz-4;Fz4;FzE4;GPCR;hFz4
Immunogen :KLH-conjugated synthetic peptide encompassing a sequence within the N-term region of human Frizzled 4.
Conjugate :Unconjugated
Modification :Unmodified
Western blot analysis of Frizzled 4 expression in A549 (A), Hela (B), CT26 (C), PC12 (D) whole cell lysates.
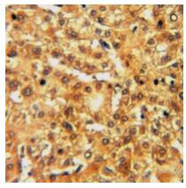
Immunohistochemical analysis of Frizzled 4 staining in human liver cancer formalin fixed paraffin embedded tissue section.
Immunohistochemistry of paraffin-embedded human liver cancer using Haptoglobin ) antibody at dilution of 1:100 .Perform microwave antigen retrieval with 10 mM PBS buffer pH 7.2 before commencing with IHC staining protocol.

关注我们

400-660-9091

电话:18013895086

地址:江苏生命科技创新园F6幢1层

订购:nanjing03@biogot.com

服务:biorase01@biogot.com

合作:lvyun@biogot.com

支持:may@biogot.com