中国 EN 400-660-9091

联系我们

电话:025-68037686

地址:江苏生命科技创新园F6幢1层

订购:nanjing03@biogot.com

服务:biorase01@biogot.com

合作:lvyun@biogot.com

支持:may@biogot.com

TROP-2 polyclonal antibody

货号: BS79002
价格 1140
货期 现货(1-2个工作日)
25ul 50ul 100ul 200ul
No. :BS79002
Product Name :TROP-2 polyclonal antibody
Swiss-Prot :P09758
Host :Rabbit
Reactivity :Human, Mouse, Rat
Applications :WB, IHC, IF/ICC
Application_all :WB,1:500 - 1:2000|IHC,1:50 - 1:200|IF/ICC,1:50 - 1:200
Background :This intronless gene encodes a carcinoma-associated antigen. This antigen is a cell surface receptor that transduces calcium signals. Mutations of this gene have been associated with gelatinous drop-like corneal dystrophy.
Product :1mg/ml in PBS with 0.02% sodium azide, 50% glycerol, pH7.2
Purification&Purity :The antibody was affinity-purified from rabbit antiserum by affinity-chromatography using epitope-specific immunogen and the purity is > 95% (by SDS-PAGE).
Storage&Stability :Store at 4°C short term. Aliquot and store at -20°C long term. Avoid freeze-thaw cycles.
Specificity :Unmodification
BiowMW :37-50KDa
Note :For research use only, not for use in diagnostic procedure.
Alternative Name :TACSTD2;EGP-1;EGP1;GA733-1;GA7331;GP50;M1S1;TROP2
Immunogen :Recombinant fusion protein of human TROP-2(NP_002344.2).
Conjugate :Unconjugated
Modification :Unmodification
Western blot analysis of extracts of various cell lines, using TROP-2 antibody at 1:1000 dilution.
Secondary antibody: HRP Goat Anti-Rabbit IgG at 1:10000 dilution.
Lysates/proteins: 25ug per lane.
Blocking buffer: 3% nonfat dry milk in TBST.
Detection: ECL Enhanced Kit .
Exposure time: 1s.
Western blot analysis of extracts of Mouse kidney, using TROP-2 antibody at 1:1000 dilution.
Secondary antibody: HRP Goat Anti-Rabbit IgG at 1:10000 dilution.
Lysates/proteins: 25ug per lane.
Blocking buffer: 3% nonfat dry milk in TBST.
Detection: ECL Basic Kit .
Exposure time: 10s.
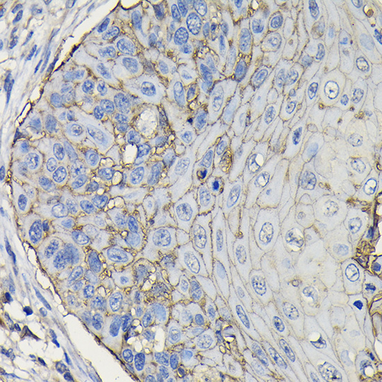
Immunohistochemistry of paraffin-embedded human esophageal cancer using TROP-2 Rabbit pAb at dilution of 1:100 .Perform high pressure antigen retrieval with 10 mM citrate buffer pH 6.0 before commencing with IHC staining protocol.
Immunofluorescence analysis of A431 cells using TROP-2 Rabbit pAb at dilution of 1:100 . Blue: DAPI for nuclear staining.

关注我们

400-660-9091

电话:025-68037686

地址:江苏生命科技创新园F6幢1层

订购:nanjing03@biogot.com

服务:biorase01@biogot.com

合作:lvyun@biogot.com

支持:may@biogot.com