中国 EN 400-660-9091

联系我们

电话:025-68037686

地址:江苏生命科技创新园F6幢1层

订购:nanjing03@biogot.com

服务:biorase01@biogot.com

合作:lvyun@biogot.com

支持:may@biogot.com

Gm13125 polyclonal antibody

货号: BS78992
价格 1140
货期 现货(1-2个工作日)
25ul 50ul 100ul 200ul
No. :BS78992
Product Name :Gm13125 polyclonal antibody
Swiss-Prot :Q5VT98
Host :Rabbit
Reactivity :Human, Mouse, Rat
Applications :WB, IHC
Application_all :WB,1:500 - 1:2000|IHC,1:100 - 1:200
Background :Predicted to enable ubiquitin ligase-substrate adaptor activity. Predicted to be part of Cul2-RING ubiquitin ligase complex. Predicted to be active in cytoplasm. Orthologous to several human genes including PRAMEF1 (PRAME family member 1); PRAMEF10 (PRAME family member 10); and PRAMEF11 (PRAME family member 11).
Product :1mg/ml in PBS with 0.02% sodium azide, 50% glycerol, pH7.2
Purification&Purity :The antibody was affinity-purified from rabbit antiserum by affinity-chromatography using epitope-specific immunogen and the purity is > 95% (by SDS-PAGE).
Storage&Stability :Store at 4°C short term. Aliquot and store at -20°C long term. Avoid freeze-thaw cycles.
Specificity :Unmodification
BiowMW :55kDa
Note :For research use only, not for use in diagnostic procedure.
Alternative Name :PRAMEF20;PRAMEF21;Gm13125
Immunogen :Recombinant fusion protein of mouse Gm13125(NP_001108549.1).
Conjugate :Unconjugated
Modification :Unmodification
Western blot analysis of extracts of various cell lines, using Gm13125 antibody at 1:1000 dilution.
Secondary antibody: HRP Goat Anti-Rabbit IgG at 1:10000 dilution.
Lysates/proteins: 25ug per lane.
Blocking buffer: 3% nonfat dry milk in TBST.
Detection: ECL Basic Kit .
Exposure time: 30s.
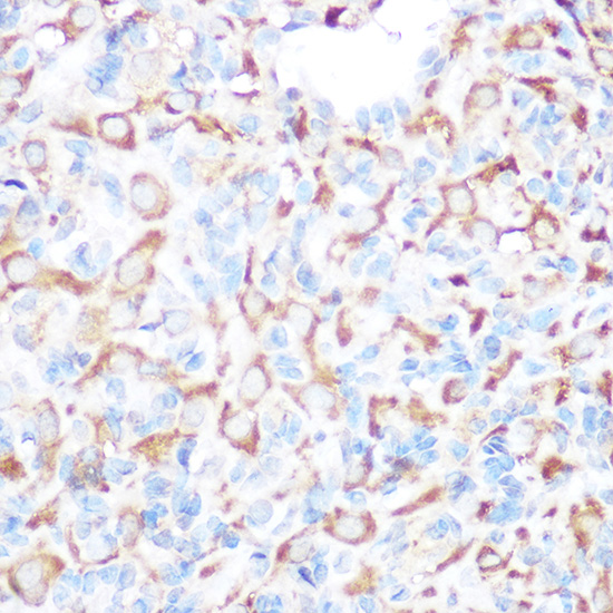
Immunohistochemistry of paraffin-embedded mouse ovary using Gm13125 Rabbit pAb at dilution of 1:100 .Perform microwave antigen retrieval with 10 mM Tris/EDTA buffer pH 9.0 before commencing with IHC staining protocol.
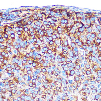
Immunohistochemistry of paraffin-embedded rat ovary using Gm13125 Rabbit pAb at dilution of 1:100 .Perform microwave antigen retrieval with 10 mM Tris/EDTA buffer pH 9.0 before commencing with IHC staining protocol.

关注我们

400-660-9091

电话:025-68037686

地址:江苏生命科技创新园F6幢1层

订购:nanjing03@biogot.com

服务:biorase01@biogot.com

合作:lvyun@biogot.com

支持:may@biogot.com