中国 EN 400-660-9091

联系我们

电话:025-68037686

地址:江苏生命科技创新园F6幢1层

订购:nanjing03@biogot.com

服务:biorase01@biogot.com

合作:lvyun@biogot.com

支持:may@biogot.com

MTMR4 polyclonal antibody

货号: BS78917
价格 1140
货期 现货(1-2个工作日)
25ul 50ul 100ul 200ul
No. :BS78917
Product Name :MTMR4 polyclonal antibody
Swiss-Prot :Q9NYA4
Host :Rabbit
Reactivity :Human, Mouse
Applications :IHC
Application_all :IHC,1:50 - 1:100
Background :Dephosphorylates proteins phosphorylated on Ser, Thr, and Tyr residues and low molecular weight phosphatase substrate para-nitrophenylphosphate. Phosphorylates phosphatidylinositol 3,4,5-trisphosphate (PIP3.
Product :1mg/ml in PBS with 0.02% sodium azide, 50% glycerol, pH7.2
Purification&Purity :The antibody was affinity-purified from rabbit antiserum by affinity-chromatography using epitope-specific immunogen and the purity is > 95% (by SDS-PAGE).
Storage&Stability :Store at 4°C short term. Aliquot and store at -20°C long term. Avoid freeze-thaw cycles.
Specificity :Unmodification
BiowMW :Refer to figures
Note :For research use only, not for use in diagnostic procedure.
Alternative Name :MTMR4;FYVE-DSP2;ZFYVE11
Immunogen :Recombinant fusion protein of human MTMR4(NP_004678.3).
Conjugate :Unconjugated
Modification :Unmodification
Immunohistochemistry of paraffin-embedded Human hepatocholangiocarcinoma using MTMR4 Rabbit pAb at dilution of 1:50 .Perform high pressure antigen retrieval with 10 mM citrate buffer pH 6.0 before commencing with IHC staining protocol.
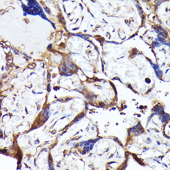
Immunohistochemistry of paraffin-embedded human placenta using MTMR4 Rabbit pAb at dilution of 1:50 .Perform high pressure antigen retrieval with 10 mM citrate buffer pH 6.0 before commencing with IHC staining protocol.

关注我们

400-660-9091

电话:025-68037686

地址:江苏生命科技创新园F6幢1层

订购:nanjing03@biogot.com

服务:biorase01@biogot.com

合作:lvyun@biogot.com

支持:may@biogot.com