中国 EN 400-660-9091

联系我们

电话:025-68037686

地址:江苏生命科技创新园F6幢1层

订购:nanjing03@biogot.com

服务:biorase01@biogot.com

合作:lvyun@biogot.com

支持:may@biogot.com

COX1/PTGS1 polyclonal antibody

货号: BS78855
价格 1140
货期 现货(1-2个工作日)
25ul 50ul 100ul 200ul
No. :BS78855
Product Name :COX1/PTGS1 polyclonal antibody
Swiss-Prot :P23219
Host :Rabbit
Reactivity :Human, Mouse, Rat
Applications :WB, IHC, IF/ICC
Application_all :WB,1:500 - 1:2000|IHC,1:100 - 1:200|IF/ICC,1:50 - 1:200
Background :This is one of two genes encoding similar enzymes that catalyze the conversion of arachinodate to prostaglandin. The encoded protein regulates angiogenesis in endothelial cells, and is inhibited by nonsteroidal anti-inflammatory drugs such as aspirin. Based on its ability to function as both a cyclooxygenase and as a peroxidase, the encoded protein has been identified as a moonlighting protein. The protein may promote cell proliferation during tumor progression. Alternative splicing results in multiple transcript variants.
Product :1mg/ml in PBS with 0.02% sodium azide, 50% glycerol, pH7.2
Purification&Purity :The antibody was affinity-purified from rabbit antiserum by affinity-chromatography using epitope-specific immunogen and the purity is > 95% (by SDS-PAGE).
Storage&Stability :Store at 4°C short term. Aliquot and store at -20°C long term. Avoid freeze-thaw cycles.
Specificity :Unmodification
BiowMW :69kDa
Note :For research use only, not for use in diagnostic procedure.
Alternative Name :PTGS1;COX1;COX3;PCOX1;PES-1;PGG/HS;PGHS-1;PGHS1;PHS1;PTGHS
Immunogen :Recombinant fusion protein of human COX1/COX1/PTGS1(NP_001258094.1).
Conjugate :Unconjugated
Modification :Unmodification
Western blot analysis of extracts of various cell lines, using COX1/COX1/PTGS1 antibody at 1:1000 dilution._Secondary antibody: HRP Goat Anti-Rabbit IgG at 1:10000 dilution._Lysates/proteins: 25ug per lane._Blocking buffer: 3% nonfat dry milk in TBST._Detection: ECL Enhanced Kit ._Exposure time: 15s.
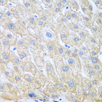
Immunohistochemistry of paraffin-embedded human liver cancer using COX1/COX1/PTGS1 antibody at dilution of 1:100 .Perform microwave antigen retrieval with 10 mM PBS buffer pH 7.2 before commencing with IHC staining protocol.
Immunofluorescence analysis of HeLa cells using COX1/COX1/PTGS1 Polyclonal Antibody at dilution of 1:100 . Blue: DAPI for nuclear staining.

关注我们

400-660-9091

电话:025-68037686

地址:江苏生命科技创新园F6幢1层

订购:nanjing03@biogot.com

服务:biorase01@biogot.com

合作:lvyun@biogot.com

支持:may@biogot.com