中国 EN 400-660-9091

联系我们

电话:025-68037686

地址:江苏生命科技创新园F6幢1层

订购:nanjing03@biogot.com

服务:biorase01@biogot.com

合作:lvyun@biogot.com

支持:may@biogot.com

POLD3 polyclonal antibody

货号: BS78847
价格 1140
货期 现货(1-2个工作日)
25ul 50ul 100ul 200ul
No. :BS78847
Product Name :POLD3 polyclonal antibody
Swiss-Prot :Q15054
Host :Rabbit
Reactivity :Human, Mouse
Applications :WB, IHC, IF/ICC
Application_all :WB,1:500 - 1:2000|IF/ICC,1:50 - 1:100|IHC,1:50 - 1:200
Background :This gene encodes the 66-kDa subunit of DNA polymerase delta. DNA polymerase delta possesses both polymerase and 3' to 5' exonuclease activity and plays a critical role in DNA replication and repair. The encoded protein plays a role in regulating the activity of DNA polymerase delta through interactions with other subunits and the processivity cofactor proliferating cell nuclear antigen (PCNA). Alternatively spliced transcript variants have been observed for this gene.
Product :1mg/ml in PBS with 0.02% sodium azide, 50% glycerol, pH7.2
Purification&Purity :The antibody was affinity-purified from rabbit antiserum by affinity-chromatography using epitope-specific immunogen and the purity is > 95% (by SDS-PAGE).
Storage&Stability :Store at 4°C short term. Aliquot and store at -20°C long term. Avoid freeze-thaw cycles.
Specificity :Unmodification
BiowMW :51kDa
Note :For research use only, not for use in diagnostic procedure.
Alternative Name :POLD3;P66;P68;PPP1R128
Immunogen :Recombinant fusion protein of human POLD3(NP_006582.1).
Conjugate :Unconjugated
Modification :Unmodification
Western blot analysis of extracts of various cell lines, using POLD3 antibody at 1:1000 dilution.
Secondary antibody: HRP Goat Anti-Rabbit IgG at 1:10000 dilution.
Lysates/proteins: 25ug per lane.
Blocking buffer: 3% nonfat dry milk in TBST.
Detection: ECL Enhanced Kit .
Exposure time: 60s.
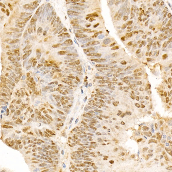
Immunohistochemistry of paraffin-embedded human colon carcinoma using POLD3 Rabbit pAb at dilution of 1:300 .Perform microwave antigen retrieval with 10 mM PBS buffer pH 7.2 before commencing with IHC staining protocol.
Immunofluorescence analysis of GFP-RNF168 transgenic U2OS cells using POLD3 antibody . Green:GFP-RNF168 fusion protein expression for DNA damage marker.Blue: DAPI for nuclear staining.RNF168 can be used to mark cells damaged by UV-A laser for they always gather around DNA damage region.
Immunofluorescence analysis of U2OS cells using POLD3 antibody .

关注我们

400-660-9091

电话:025-68037686

地址:江苏生命科技创新园F6幢1层

订购:nanjing03@biogot.com

服务:biorase01@biogot.com

合作:lvyun@biogot.com

支持:may@biogot.com