中国 EN 400-660-9091

联系我们

电话:025-68037686

地址:江苏生命科技创新园F6幢1层

订购:nanjing03@biogot.com

服务:biorase01@biogot.com

合作:lvyun@biogot.com

支持:may@biogot.com

CDC16 polyclonal antibody

货号: BS78843
价格 1140
货期 现货(1-2个工作日)
25ul 50ul 100ul 200ul
No. :BS78843
Product Name :CDC16 polyclonal antibody
Swiss-Prot :Q13042
Host :Rabbit
Reactivity :Human, Mouse, Rat
Applications :WB, IHC
Application_all :WB,1:500 - 1:2000|IHC,1:50 - 1:200
Background :The protein encoded by this gene functions as a protein ubiquitin ligase and is a component of the multiprotein APC complex. The APC complex is a cyclin degradation system that governs exit from mitosis by targeting cell cycle proteins for degredation by the 26S proteasome. Each component protein of the APC complex is highly conserved among eukaryotic organisms. This protein, and other APC complex proteins, contain a tetratricopeptide repeat (TPR) domain; a protein domain that is often involved in protein-protein interactions and the assembly of multiprotein complexes. Multiple alternatively spliced transcript variants, encoding distinct proteins, have been identified.
Product :1mg/ml in PBS with 0.02% sodium azide, 50% glycerol, pH7.2
Purification&Purity :The antibody was affinity-purified from rabbit antiserum by affinity-chromatography using epitope-specific immunogen and the purity is > 95% (by SDS-PAGE).
Storage&Stability :Store at 4°C short term. Aliquot and store at -20°C long term. Avoid freeze-thaw cycles.
Specificity :Unmodification
BiowMW :72kDa
Note :For research use only, not for use in diagnostic procedure.
Alternative Name :CDC16;ANAPC6;APC6;CDC16Hs;CUT9
Immunogen :Recombinant fusion protein of human CDC16(NP_003894.3).
Conjugate :Unconjugated
Modification :Unmodification
Western blot analysis of extracts of various cell lines, using CDC16 antibody at 1:1000 dilution.
Secondary antibody: HRP Goat Anti-Rabbit IgG at 1:10000 dilution.
Lysates/proteins: 25ug per lane.
Blocking buffer: 3% nonfat dry milk in TBST.
Detection: ECL Basic Kit .
Exposure time: 10s.
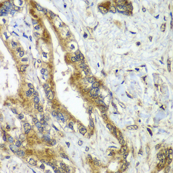
Immunohistochemistry of paraffin-embedded human liver cancer using CDC16 antibody at dilution of 1:100 .Perform microwave antigen retrieval with 10 mM PBS buffer pH 7.2 before commencing with IHC staining protocol.
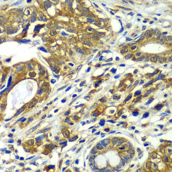
Immunohistochemistry of paraffin-embedded human gastric cancer using CDC16 antibody at dilution of 1:100 .Perform microwave antigen retrieval with 10 mM PBS buffer pH 7.2 before commencing with IHC staining protocol.

关注我们

400-660-9091

电话:025-68037686

地址:江苏生命科技创新园F6幢1层

订购:nanjing03@biogot.com

服务:biorase01@biogot.com

合作:lvyun@biogot.com

支持:may@biogot.com