中国 EN 400-660-9091

联系我们

电话:025-68037686

地址:江苏生命科技创新园F6幢1层

订购:nanjing03@biogot.com

服务:biorase01@biogot.com

合作:lvyun@biogot.com

支持:may@biogot.com

TP53BP2 polyclonal antibody

货号: BS78673
价格 1140
货期 现货(1-2个工作日)
25ul 50ul 100ul
No. :BS78673
Product Name :TP53BP2 polyclonal antibody
Swiss-Prot :Q13625
Host :Rabbit
Reactivity :Human, Mouse, Rat
Applications :IHC
Application_all :IHC,1:50 - 1:200
Background :This gene encodes a member of the ASPP (apoptosis-stimulating protein of p53) family of p53 interacting proteins. The protein contains four ankyrin repeats and an SH3 domain involved in protein-protein interactions. It is localized to the perinuclear region of the cytoplasm, and regulates apoptosis and cell growth through interactions with other regulatory molecules including members of the p53 family. Multiple transcript variants encoding different isoforms have been found for this gene.
Product :1mg/ml in PBS with 0.02% sodium azide, 50% glycerol, pH7.2
Purification&Purity :The antibody was affinity-purified from rabbit antiserum by affinity-chromatography using epitope-specific immunogen and the purity is > 95% (by SDS-PAGE).
Storage&Stability :Store at 4°C short term. Aliquot and store at -20°C long term. Avoid freeze-thaw cycles.
Specificity :Unmodification
BiowMW :Refer to Figures
Note :For research use only, not for use in diagnostic procedure.
Alternative Name :TP53BP2;53BP2;ASPP2;BBP;P53BP2;PPP1R13A
Immunogen :Recombinant fusion protein of human TP53BP2(NP_001026855.2).
Conjugate :Unconjugated
Modification :Unmodification
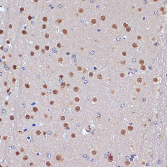
Immunohistochemistry of paraffin-embedded rat brain using TP53BP2 antibody at dilution of 1:100 .Perform microwave antigen retrieval with 10 mM PBS buffer pH 7.2 before commencing with IHC staining protocol.
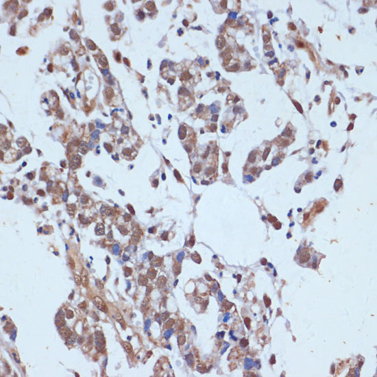
Immunohistochemistry of paraffin-embedded human gastric cancer using TP53BP2 antibody at dilution of 1:100 .Perform microwave antigen retrieval with 10 mM PBS buffer pH 7.2 before commencing with IHC staining protocol.
Immunohistochemistry of paraffin-embedded mouse brain using TP53BP2 antibody at dilution of 1:100 .Perform microwave antigen retrieval with 10 mM PBS buffer pH 7.2 before commencing with IHC staining protocol.

关注我们

400-660-9091

电话:18013895086

地址:江苏生命科技创新园F6幢1层

订购:nanjing03@biogot.com

服务:biorase01@biogot.com

合作:lvyun@biogot.com

支持:may@biogot.com