中国 EN 400-660-9091

联系我们

电话:025-68037686

地址:江苏生命科技创新园F6幢1层

订购:nanjing03@biogot.com

服务:biorase01@biogot.com

合作:lvyun@biogot.com

支持:may@biogot.com

NAA50 polyclonal antibody

货号: BS78611
价格 1140
货期 现货(1-2个工作日)
25ul 50ul 100ul 200ul
No. :BS78611
Product Name :NAA50 polyclonal antibody
Swiss-Prot :Q9GZZ1
Host :Rabbit
Reactivity :Human, Mouse, Rat
Applications :WB, IHC, IF/ICC
Application_all :WB,1:200 - 1:2000|IHC,1:50 - 1:200|IF/ICC,1:50 - 1:200
Background :N-alpha-acetyltransferase that acetylates the N-terminus of proteins that retain their initiating methionine. Has a broad substrate specificity: able to acetylate the initiator methionine of most peptides, except for those with a proline in second position. Also displays N-epsilon-acetyltransferase activity by mediating acetylation of the side chain of specific lysines on proteins. Autoacetylates in vivo. The relevance of N-epsilon-acetyltransferase activity is however unclear: able to acetylate H4 in vitro, but this result has not been confirmed in vivo. Component of N-alpha-acetyltransferase complexes containing NAA10 and NAA15, which has N-alpha-acetyltransferase activity. Does not influence the acetyltransferase activity of NAA10. However, it negatively regulates the N-alpha-acetyltransferase activity of the N-terminal acetyltransferase A complex (also called the NatA complex. The multiprotein complexes probably constitute the major contributor for N-terminal acetylation at the ribosome exit tunnel, with NAA10 acetylating all amino termini that are devoid of methionine and NAA50 acetylating other peptides. Required for sister chromatid cohesion during mitosis by promoting binding of CDCA5/sororin to cohesin: may act by counteracting the function of NAA10.
Product :1mg/ml in PBS with 0.02% sodium azide, 50% glycerol, pH7.2
Purification&Purity :The antibody was affinity-purified from rabbit antiserum by affinity-chromatography using epitope-specific immunogen and the purity is > 95% (by SDS-PAGE).
Storage&Stability :Store at 4°C short term. Aliquot and store at -20°C long term. Avoid freeze-thaw cycles.
Specificity :Unmodification
BiowMW :19kDa
Note :For research use only, not for use in diagnostic procedure.
Alternative Name :NAA50;MAK3;NAT13;NAT13P;NAT5;NAT5P;SAN
Immunogen :Recombinant fusion protein of human NAA50(NP_079422.1).
Conjugate :Unconjugated
Modification :Unmodification
Western blot analysis of extracts of various cell lines, using NAA50 antibody at 1:1000 dilution.
Secondary antibody: HRP Goat Anti-Rabbit IgG at 1:10000 dilution.
Lysates/proteins: 25ug per lane.
Blocking buffer: 3% nonfat dry milk in TBST.
Detection: ECL Enhanced Kit .
Exposure time: 90s.
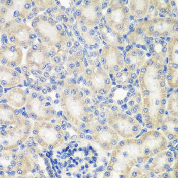
Immunohistochemistry of paraffin-embedded rat kidney using NAA50 antibody at dilution of 1:200 .Perform microwave antigen retrieval with 10 mM PBS buffer pH 7.2 before commencing with IHC staining protocol.
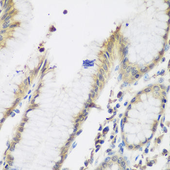
Immunohistochemistry of paraffin-embedded human stomach using NAA50 antibody at dilution of 1:200 .Perform microwave antigen retrieval with 10 mM PBS buffer pH 7.2 before commencing with IHC staining protocol.
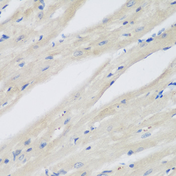
Immunohistochemistry of paraffin-embedded mouse heart using NAA50 antibody at dilution of 1:200 .Perform microwave antigen retrieval with 10 mM PBS buffer pH 7.2 before commencing with IHC staining protocol.

关注我们

400-660-9091

电话:025-68037686

地址:江苏生命科技创新园F6幢1层

订购:nanjing03@biogot.com

服务:biorase01@biogot.com

合作:lvyun@biogot.com

支持:may@biogot.com