中国 EN 400-660-9091

联系我们

电话:025-68037686

地址:江苏生命科技创新园F6幢1层

订购:nanjing03@biogot.com

服务:biorase01@biogot.com

合作:lvyun@biogot.com

支持:may@biogot.com

LYPLA1 polyclonal antibody

货号: BS78559
价格 1140
货期 现货(1-2个工作日)
25ul 50ul 100ul 200ul
No. :BS78559
Product Name :LYPLA1 polyclonal antibody
Swiss-Prot :O75608
Host :Rabbit
Reactivity :Human, Mouse
Applications :WB, IHC
Application_all :WB,1:500 - 1:2000|IHC,1:50 - 1:200
Background :This gene encodes a member of the alpha/beta hydrolase superfamily. The encoded protein functions as a homodimer, exhibiting both depalmitoylating as well as lysophospholipase activity, and may be involved in Ras localization and signaling. Alternate splicing results in multiple transcript variants. Pseudogenes of this gene have been defined on chromosomes 4, 6, and 7.
Product :1mg/ml in PBS with 0.02% sodium azide, 50% glycerol, pH7.2
Purification&Purity :The antibody was affinity-purified from rabbit antiserum by affinity-chromatography using epitope-specific immunogen and the purity is > 95% (by SDS-PAGE).
Storage&Stability :Store at 4°C short term. Aliquot and store at -20°C long term. Avoid freeze-thaw cycles.
Specificity :Unmodification
BiowMW :25kDa
Note :For research use only, not for use in diagnostic procedure.
Alternative Name :LYPLA1;APT-1;APT1;LPL-I;LPL1;hAPT1
Immunogen :Recombinant fusion protein of human LYPLA1(NP_006321.1).
Conjugate :Unconjugated
Modification :Unmodification
Western blot analysis of extracts of various cell lines, using LYPLA1 antibody at 1:3000 dilution.
Secondary antibody: HRP Goat Anti-Rabbit IgG at 1:10000 dilution.
Lysates/proteins: 25ug per lane.
Blocking buffer: 3% nonfat dry milk in TBST.
Detection: ECL Basic Kit .
Exposure time: 90s.
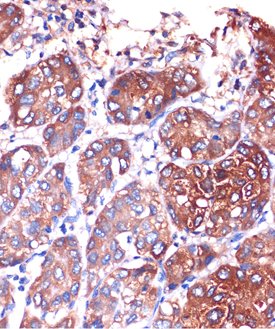
Immunohistochemistry of paraffin-embedded Human liver cancer using LYPLA1 Rabbit pAb at dilution of 1:100 .Perform microwave antigen retrieval with 10 mM PBS buffer pH 7.2 before commencing with IHC staining protocol.

关注我们

400-660-9091

电话:025-68037686

地址:江苏生命科技创新园F6幢1层

订购:nanjing03@biogot.com

服务:biorase01@biogot.com

合作:lvyun@biogot.com

支持:may@biogot.com