中国 EN 400-660-9091

联系我们

电话:025-68037686

地址:江苏生命科技创新园F6幢1层

订购:nanjing03@biogot.com

服务:biorase01@biogot.com

合作:lvyun@biogot.com

支持:may@biogot.com

NDUFS3 polyclonal antibody

货号: BS78507
价格 ——
货期 现货(1-2个工作日)
25ul 50ul 100ul 200ul
No. :BS78507
Product Name :NDUFS3 polyclonal antibody
Swiss-Prot :O75489
Host :Rabbit
Reactivity :Human, Mouse
Applications :WB
Application_all :WB,1:500 - 1:1000
Background :This gene encodes one of the iron-sulfur protein (IP) components of mitochondrial NADH:ubiquinone oxidoreductase (complex I). Mutations in this gene are associated with Leigh syndrome resulting from mitochondrial complex I deficiency.
Product :1mg/ml in PBS with 0.02% sodium azide, 50% glycerol, pH7.2
Purification&Purity :The antibody was affinity-purified from rabbit antiserum by affinity-chromatography using epitope-specific immunogen and the purity is > 95% (by SDS-PAGE).
Storage&Stability :Store at 4°C short term. Aliquot and store at -20°C long term. Avoid freeze-thaw cycles.
Specificity :Unmodification
BiowMW :26kDa
Note :For research use only, not for use in diagnostic procedure.
Alternative Name :NDUFS3;CI-30
Immunogen :Recombinant fusion protein of human NDUFS3(NP_004542.1).
Conjugate :Unconjugated
Modification :Unmodification
Western blot analysis of extracts of THP-1 cells, using NDUFS3 antibody .
Secondary antibody: HRP Goat Anti-Rabbit IgG at 1:10000 dilution.
Lysates/proteins: 25ug per lane.
Blocking buffer: 3% nonfat dry milk in TBST.
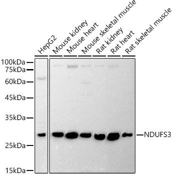
Western blot analysis of extracts of various cell lines, using NDUFS3 Rabbit pAb antibody at 1:1000 dilution.
Secondary antibody: HRP Goat Anti-Rabbit IgG at 1:10000 dilution.
Lysates/proteins: 25ug per lane.
Blocking buffer: 3% nonfat dry milk in TBST.
Detection: ECL Basic Kit .
Exposure time: 90s.

关注我们

400-660-9091

电话:025-68037686

地址:江苏生命科技创新园F6幢1层

订购:nanjing03@biogot.com

服务:biorase01@biogot.com

合作:lvyun@biogot.com

支持:may@biogot.com