中国 EN 400-660-9091

联系我们

电话:025-68037686

地址:江苏生命科技创新园F6幢1层

订购:nanjing03@biogot.com

服务:biorase01@biogot.com

合作:lvyun@biogot.com

支持:may@biogot.com

PIWIL4 polyclonal antibody

货号: BS78423
价格 1140
货期 现货(1-2个工作日)
25ul 50ul 100ul 200ul
No. :BS78423
Product Name :PIWIL4 polyclonal antibody
Swiss-Prot :Q7Z3Z4
Host :Rabbit
Reactivity :Human, Rat
Applications :WB, IHC
Application_all :WB,1:500 - 1:2000|IHC,1:50 - 1:200
Background :PIWIL4 belongs to the Argonaute family of proteins, which function in development and maintenance of germline stem cells (Sasaki et al., 2003 [PubMed 12906857]).
Product :1mg/ml in PBS with 0.02% sodium azide, 50% glycerol, pH7.2
Purification&Purity :The antibody was affinity-purified from rabbit antiserum by affinity-chromatography using epitope-specific immunogen and the purity is > 95% (by SDS-PAGE).
Storage&Stability :Store at 4°C short term. Aliquot and store at -20°C long term. Avoid freeze-thaw cycles.
Specificity :Unmodification
BiowMW :97KDa
Note :For research use only, not for use in diagnostic procedure.
Alternative Name :PIWIL4;HIWI2;MIWI2
Immunogen :Recombinant fusion protein of human PIWILPIWIL4
Conjugate :Unconjugated
Modification :Unmodification
Western blot analysis of extracts of various cell lines, using PIWIL4 antibody at 1:1000 dilution.
Secondary antibody: HRP Goat Anti-Rabbit IgG at 1:10000 dilution.
Lysates/proteins: 25ug per lane.
Blocking buffer: 3% nonfat dry milk in TBST.
Detection: ECL Basic Kit .
Exposure time: 3s.
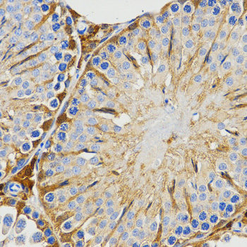
Immunohistochemistry of paraffin-embedded rat testis using PIWIL4 antibody at dilution of 1:200 .Perform microwave antigen retrieval with 10 mM PBS buffer pH 7.2 before commencing with IHC staining protocol.
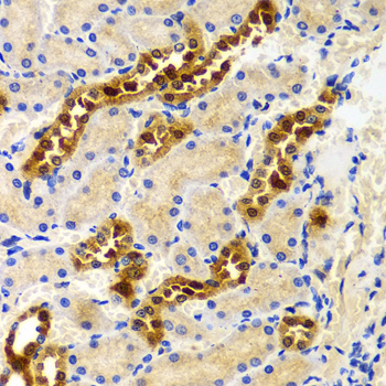
Immunohistochemistry of paraffin-embedded rat kidney using PIWIL4 antibody at dilution of 1:100 .Perform microwave antigen retrieval with 10 mM PBS buffer pH 7.2 before commencing with IHC staining protocol.

关注我们

400-660-9091

电话:025-68037686

地址:江苏生命科技创新园F6幢1层

订购:nanjing03@biogot.com

服务:biorase01@biogot.com

合作:lvyun@biogot.com

支持:may@biogot.com