中国 EN 400-660-9091

联系我们

电话:025-68037686

地址:江苏生命科技创新园F6幢1层

订购:nanjing03@biogot.com

服务:biorase01@biogot.com

合作:lvyun@biogot.com

支持:may@biogot.com

IAPP polyclonal antibody

货号: BS78388
价格 1140
货期 现货(1-2个工作日)
25ul 50ul 100ul 200ul
No. :BS78388
Product Name :IAPP polyclonal antibody
Swiss-Prot :P10997
Host :Rabbit
Reactivity :Human, Mouse, Rat
Applications :IHC, IF/ICC
Application_all :IHC,1:50 - 1:200|IF/ICC,1:50 - 1:200
Background :This gene encodes a member of the calcitonin family of peptide hormones. This hormone is released from pancreatic beta cells following food intake to regulate blood glucose levels and act as a satiation signal. Human patients with type 1 and advanced type 2 diabetes exhibit reduced levels of the encoded hormone in blood and pancreas. This protein also exhibits a bactericidal, antimicrobial activity.
Product :1mg/ml in PBS with 0.02% sodium azide, 50% glycerol, pH7.2
Purification&Purity :The antibody was affinity-purified from rabbit antiserum by affinity-chromatography using epitope-specific immunogen and the purity is > 95% (by SDS-PAGE).
Storage&Stability :Store at 4°C short term. Aliquot and store at -20°C long term. Avoid freeze-thaw cycles.
Specificity :Unmodification
BiowMW :Refer to figures
Note :For research use only, not for use in diagnostic procedure.
Alternative Name :IAPP;DAP;IAP
Immunogen :A synthetic peptide of human IAPP(NP_000406.1).
Conjugate :Unconjugated
Modification :Unmodification
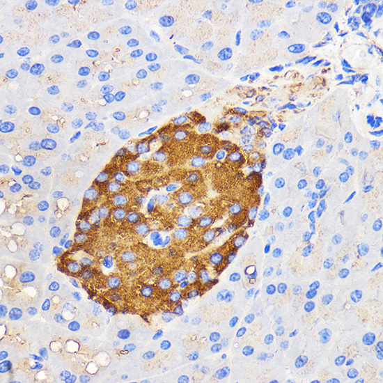
Immunohistochemistry of paraffin-embedded Rat pancreas using IAPP Rabbit pAb at dilution of 1:100 .Perform microwave antigen retrieval with 10 mM PBS buffer pH 7.2 before commencing with IHC staining protocol.
Immunohistochemistry of paraffin-embedded Mouse pancreas using IAPP Rabbit pAb at dilution of 1:100 .Perform microwave antigen retrieval with 10 mM PBS buffer pH 7.2 before commencing with IHC staining protocol.
Immunofluorescence analysis of rat pancreas using IAPP antibody at dilution of 1:100. Blue: DAPI for nuclear staining.
Immunofluorescence analysis of mouse pancreas using IAPP antibody at dilution of 1:100. Blue: DAPI for nuclear staining.

关注我们

400-660-9091

电话:025-68037686

地址:江苏生命科技创新园F6幢1层

订购:nanjing03@biogot.com

服务:biorase01@biogot.com

合作:lvyun@biogot.com

支持:may@biogot.com