中国 EN 400-660-9091

联系我们

电话:025-68037686

地址:江苏生命科技创新园F6幢1层

订购:nanjing03@biogot.com

服务:biorase01@biogot.com

合作:lvyun@biogot.com

支持:may@biogot.com

CSNK1E polyclonal antibody

货号: BS78266
价格 1140
货期 现货(1-2个工作日)
25ul 50ul 100ul 200ul
No. :BS78266
Product Name :CSNK1E polyclonal antibody
Swiss-Prot :P49674
Host :Rabbit
Reactivity :Human
Applications :IHC
Application_all :IHC,1:50 - 1:200
Background :The protein encoded by this gene is a serine/threonine protein kinase and a member of the casein kinase I protein family, whose members have been implicated in the control of cytoplasmic and nuclear processes, including DNA replication and repair. The encoded protein is found in the cytoplasm as a monomer and can phosphorylate a variety of proteins, including itself. This protein has been shown to phosphorylate period, a circadian rhythm protein. Two transcript variants encoding the same protein have been found for this gene.
Product :1mg/ml in PBS with 0.02% sodium azide, 50% glycerol, pH7.2
Purification&Purity :The antibody was affinity-purified from rabbit antiserum by affinity-chromatography using epitope-specific immunogen and the purity is > 95% (by SDS-PAGE).
Storage&Stability :Store at 4°C short term. Aliquot and store at -20°C long term. Avoid freeze-thaw cycles.
Specificity :Unmodification
BiowMW :Refer to figures
Note :For research use only, not for use in diagnostic procedure.
Alternative Name :CSNK1E; CKIepsilon; HCKIE; casein kinase 1 epsilon
Immunogen :Recombinant fusion protein of human CSNK1E(NP_689407.1).
Conjugate :Unconjugated
Modification :Unmodification
Immunohistochemistry of paraffin-embedded human liver using [KO Validated] CSNK1E Rabbit pAb at dilution of 1:250 .Perform high pressure antigen retrieval with 10 mM citrate buffer pH 6.0 before commencing with IHC staining protocol.
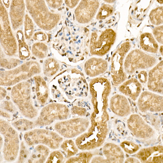
Immunohistochemistry of paraffin-embedded mouse kidney using [KO Validated] CSNK1E Rabbit pAb at dilution of 1:250 .Perform high pressure antigen retrieval with 10 mM citrate buffer pH 6.0 before commencing with IHC staining protocol.
Immunohistochemistry of paraffin-embedded rat ovary using [KO Validated] CSNK1E Rabbit pAb at dilution of 1:250 .Perform high pressure antigen retrieval with 10 mM citrate buffer pH 6.0 before commencing with IHC staining protocol.

关注我们

400-660-9091

电话:025-68037686

地址:江苏生命科技创新园F6幢1层

订购:nanjing03@biogot.com

服务:biorase01@biogot.com

合作:lvyun@biogot.com

支持:may@biogot.com