中国 EN 400-660-9091

联系我们

电话:025-68037686

地址:江苏生命科技创新园F6幢1层

订购:nanjing03@biogot.com

服务:biorase01@biogot.com

合作:lvyun@biogot.com

支持:may@biogot.com

Hsp90β polyclonal antibody

货号: BS78262
价格 1140
货期 现货(1-2个工作日)
25ul 50ul 100ul 200ul
No. :BS78262
Product Name :Hsp90β polyclonal antibody
Swiss-Prot :P08238
Host :Rabbit
Reactivity :Human,Mouse,Rat
Applications :WB, IHC, IF/ICC
Application_all :WB,1:500 - 1:2000|IHC,1:50 - 1:200|IF/ICC,1:50 - 1:200
Background :This gene encodes a member of the heat shock protein 90 family; these proteins are involved in signal transduction, protein folding and degradation and morphological evolution. This gene encodes the constitutive form of the cytosolic 90 kDa heat-shock protein and is thought to play a role in gastric apoptosis and inflammation. Alternative splicing results in multiple transcript variants. Pseudogenes have been identified on multiple chromosomes.
Product :1mg/ml in PBS with 0.02% sodium azide, 50% glycerol, pH7.2
Purification&Purity :The antibody was affinity-purified from rabbit antiserum by affinity-chromatography using epitope-specific immunogen and the purity is > 95% (by SDS-PAGE).
Storage&Stability :Store at 4°C short term. Aliquot and store at -20°C long term. Avoid freeze-thaw cycles.
Specificity :Unmodification
BiowMW :Refer to figures
Note :For research use only, not for use in diagnostic procedure.
Alternative Name :HSP90AB1; D6S182; HSP84; HSP90B; HSPC2; HSPCB; heat shock protein HSP 90-beta
Immunogen :Recombinant fusion protein of human Hsp90β(NP_031381.2).
Conjugate :Unconjugated
Modification :Unmodification
Western blot analysis of extracts of various cell lines, using HSP90AB1 antibody at 1:1000 dilution.
Secondary antibody: HRP Goat Anti-Rabbit IgG at 1:10000 dilution.
Lysates/proteins: 25ug per lane.
Blocking buffer: 3% nonfat dry milk in TBST.
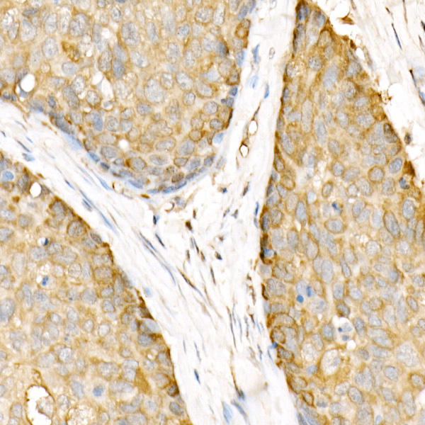
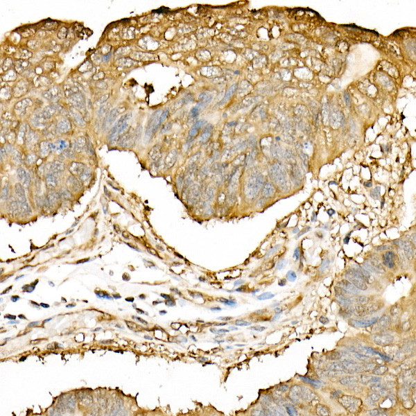
Immunohistochemistry of paraffin-embedded human colon carcinoma using Hsp90β Rabbit pAb at dilution of 1:25 .Perform high pressure antigen retrieval with 10 mM citrate buffer pH 6.0 before commencing with IHC staining protocol.
Immunohistochemistry of paraffin-embedded human colon using Hsp90β Rabbit pAb at dilution of 1:25 .Perform high pressure antigen retrieval with 10 mM citrate buffer pH 6.0 before commencing with IHC staining protocol.
Immunohistochemistry of paraffin-embedded human esophageal cancer using Hsp90β Rabbit pAb at dilution of 1:25 .Perform high pressure antigen retrieval with 10 mM citrate buffer pH 6.0 before commencing with IHC staining protocol.

关注我们

400-660-9091

电话:025-68037686

地址:江苏生命科技创新园F6幢1层

订购:nanjing03@biogot.com

服务:biorase01@biogot.com

合作:lvyun@biogot.com

支持:may@biogot.com