中国 EN 400-660-9091

联系我们

电话:025-68037686

地址:江苏生命科技创新园F6幢1层

订购:nanjing03@biogot.com

服务:biorase01@biogot.com

合作:lvyun@biogot.com

支持:may@biogot.com

[KO Validated] hnRNP E1/PCBP1 polyclonal antibody

货号: BS78254
价格 1540
货期 现货(1-2个工作日)
25ul 50ul 100ul 200ul
No. :BS78254
Product Name :[KO Validated] hnRNP E1/PCBP1 polyclonal antibody
Swiss-Prot :Q15365
Host :Rabbit
Reactivity :Human, Mouse, Rat
Applications :WB, IHC
Application_all :WB,1:500 - 1:2000|IHC,1:50 - 1:200
Background :This intronless gene is thought to have been generated by retrotransposition of a fully processed PCBP-2 mRNA. This gene and PCBP-2 have paralogues (PCBP3 and PCBP4) which are thought to have arisen as a result of duplication events of entire genes. The protein encoded by this gene appears to be multifunctional. It along with PCBP-2 and hnRNPK corresponds to the major cellular poly(rC)-binding protein. It contains three K-homologous (KH) domains which may be involved in RNA binding. This encoded protein together with PCBP-2 also functions as translational coactivators of poliovirus RNA via a sequence-specific interaction with stem-loop IV of the IRES and promote poliovirus RNA replication by binding to its 5'-terminal cloverleaf structure. It has also been implicated in translational control of the 15-lipoxygenase mRNA, human Papillomavirus type 16 L2 mRNA, and hepatitis A virus RNA. The encoded protein is also suggested to play a part in formation of a sequence-specific alpha-globin mRNP complex which is associated with alpha-globin mRNA stability.
Product :1mg/ml in PBS with 0.02% sodium azide, 50% glycerol, pH7.2
Purification&Purity :The antibody was affinity-purified from rabbit antiserum by affinity-chromatography using epitope-specific immunogen and the purity is > 95% (by SDS-PAGE).
Storage&Stability :Store at 4°C short term. Aliquot and store at -20°C long term. Avoid freeze-thaw cycles.
Specificity :Unmodification
BiowMW :40KDa
Note :For research use only, not for use in diagnostic procedure.
Alternative Name :PCBP1; HEL-S-85; HNRPE1; HNRPX; hnRNP-E1; hnRNP-X; poly(rC)-binding protein 1
Immunogen :A synthetic peptide of human hnRNP E1/PCBP1(NP_006187.2).
Conjugate :Unconjugated
Modification :Unmodification
Western blot analysis of extracts of various cell lines, using hnRNP E1/PCBP1 antibody at 1:1000 dilution.
Secondary antibody: HRP Goat Anti-Rabbit IgG at 1:10000 dilution.
Lysates/proteins: 25ug per lane.
Blocking buffer: 3% nonfat dry milk in TBST.
Detection: ECL Basic Kit .
Exposure time: 30s.
Western blot analysis of extracts from wild type and hnRNP E1/PCBP1 knockout HeLa cells, using hnRNP E1/PCBP1 antibody at 1:1000 dilution.
Secondary antibody: HRP Goat Anti-Rabbit IgG at 1:10000 dilution.
Lysates/proteins: 25ug per lane.
Blocking buffer: 3% nonfat dry milk in TBST.
Detection: ECL Basic Kit .
Exposure time: 30s.
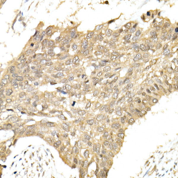
Immunohistochemistry of paraffin-embedded human esophageal cancer using hnRNP E1/PCBP1 Rabbit pAb at dilution of 1:100 .Perform high pressure antigen retrieval with 10 mM citrate buffer pH 6.0 before commencing with IHC staining protocol.
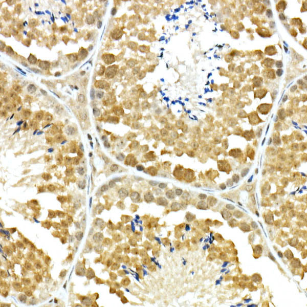
Immunohistochemistry of paraffin-embedded mouse testis using hnRNP E1/PCBP1 Rabbit pAb at dilution of 1:100 .Perform high pressure antigen retrieval with 10 mM citrate buffer pH 6.0 before commencing with IHC staining protocol.

关注我们

400-660-9091

电话:025-68037686

地址:江苏生命科技创新园F6幢1层

订购:nanjing03@biogot.com

服务:biorase01@biogot.com

合作:lvyun@biogot.com

支持:may@biogot.com